TVBS
護航黃國昌遭酸「太妹」 林子宇反擊:祝新年快樂已是我風度極限

新北市第五選區(板橋)市議員參選人林子宇在大年初一,陪同黨主席黃國昌發放紅包,現場有民眾對黃國昌喊話「市長要選到底喔」、「超速仔」,林子宇隨即以「眼神」與大音量回敬對方「新年快樂」,但此舉遭部分網友截圖批評「像極了太妹」。林子宇也解釋,自己個性向來直接,不對的事情就是不對,「祝賀新年快樂是我展現風度最大的極限。」
這是第 1 頁,共 727 頁
TVBS

新北市第五選區(板橋)市議員參選人林子宇在大年初一,陪同黨主席黃國昌發放紅包,現場有民眾對黃國昌喊話「市長要選到底喔」、「超速仔」,林子宇隨即以「眼神」與大音量回敬對方「新年快樂」,但此舉遭部分網友截圖批評「像極了太妹」。林子宇也解釋,自己個性向來直接,不對的事情就是不對,「祝賀新年快樂是我展現風度最大的極限。」
TVBS

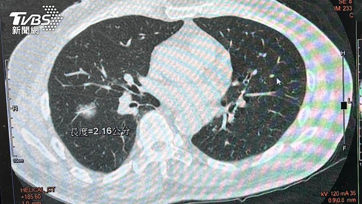
台中市一名64歲的蔡姓男子,平時生活單純,沒有抽菸、不良嗜好,但因為有肺癌家族史,近日仍照往例前往豐原醫院健檢,結果經胸腔外科醫師蕭凱宇檢查,蔡男雙側肺部有10多顆大小不一的肺部結節,評估確診肺腺癌,對此,蕭凱宇也提醒,肺癌早期沒有明顯症狀,,由於肺部缺乏痛覺神經,往往出現血痰、胸痛、胸悶、喘、骨痛、頭痛時,已經是中晚期,五年存活率也將大幅下降。
Newtalk

今(20)日為大年初四,北部清晨有零星飄雨。氣象專家吳德榮指出,白天起逐漸轉多雲時晴的天氣,明日到 24 日各地白天溫暖微熱、高溫逐日逼近 30 度,早晚因「輻射冷卻」而偏涼,日夜溫差大。24 日晚間下一波東北季風南下,北部再轉濕涼,26 日起又有春季短波,天氣變化更明顯,轉為易降雨的型態。吳德榮指
三立新聞

農曆大年初一,民眾外出用餐通常已有「加收服務費」的心理準備,但若是帳單上直白地列出「新年快樂費」,你能接受嗎?近日一名香港民眾在網路社群發文,表示在大年初一享用牛腩麵與水餃河粉後,結帳時發現帳單多了一筆港幣15元(約新台幣60元)的神祕支出,品名竟標註為「新年快樂」,引發全網瘋傳與正反兩極討論。
自由時報

新加坡籍的馮姓夫婦利用農曆新年期間,來台體驗年節氣氛,18日上午前往和平島遊玩,驚覺皮夾遺失,只好跑到基隆市警二分局和一路派出所求援。警方詳細詢問遺失時間、地點及行經路線,徒步沿原路查看時,方知皮夾已被周邊餐廳員工拾獲,正準備送往派出所。經馮姓夫妻確認拾得物確定為其遺失的皮夾後,讓他們領回,開心離去。和一路派出所18日上午11時許,接獲一對60多歲馮姓夫妻報案指出,兩人來自新加坡,特別到台灣遊玩,但皮夾卻不知在哪個地方遺失。
三立新聞

歌手林宥嘉和香港歌手鄧紫棋的戀情再度被挖出報導,面對過往私事再度被放大檢視,讓林宥嘉罕見動怒,在社群上開罵,甚至一度動了提告念頭。
聯合報

農曆春節血庫告急。捐血中心血液庫存嚴重偏低,O型血最缺,急需民眾踴躍捐血。根據各地捐血中心的統計,目前血液安全庫存量全血...
Newtalk

春節前夕,總統府秘書長潘孟安特別回到家鄉屏東,前往位於南州的精忠育幼院探視院生。一走進院區,孩童們見到熟悉的身影,隨即熱情簇擁而上,大喊「縣長阿伯新年快樂!」儘管潘孟安已卸下縣長職務前往中央任職,但對孩子們而言,這一聲「縣長阿伯」不僅是對過往照顧的深深依戀,更展現其長期紮根地方、與孩子們建立的深厚情
聯合報

「2026新北燈會」今天在新北大都會公園開始試營運,22日周日將正式開幕點燈,今年以「勁馬奔騰 新北Hi Light」為...
三立新聞

新北市新店20日晚間在一家卡拉OK店內,發生一起持刀傷人案。54歲吳姓男子疑似與鄰桌發生口角,竟返回家中拿美工刀,再到卡拉OK店裡尋仇,但對方早已離開,吳男卻與服務人員發生口角,以美工刀劃傷2名女服務員,經警方到場,吳男被依傷害、殺人未遂等罪移送台北地檢署偵辦。
三立新聞

百萬YouTuber蔡阿嘎與老婆二伯(李佩潔)結婚多年,育有蔡桃貴、蔡波能兩個可愛的兒子,一家四口有愛的互動擄獲不少粉絲的心。夫妻倆趁著農曆新春之際回雲林北港老家,昨(19)日曬出兩人大啖青蛙湯的照片,滿足直呼:「回北港必吃的名物料理」,衝擊畫面引發熱議。
TVBS

新北市三峽警方昨(19)日下午接獲舉報,指稱鶯歌區中正三路某民宅疑似有民眾聚賭,現場吵得住戶不得安寧,員警到場後入內查緝,巧合的是,其中1名賭客剛好骰出俗稱「鱉十」的最小點數,沒翻本就先「翻車」,讓他不禁大喊:「有夠衰!」警方後續也依賭博罪將6名賭客送辦。
自由時報

今年春節連假長達9天,民眾於年節期間與親友聚會頻繁,並常透過臉書、IG及短影音等社群媒體接觸各類食品廣告。台南市府衛生局指出,近期不少食品廣告標榜「明星推薦」或「醫師、藥師、營養師見證」,甚至利用AI合成專業人士或名人分享個人心得,宣稱有瘦身、降血脂、降血糖等功效,內容多有誇大不實之虞,呼籲民眾選購食品時,應警惕誇大宣傳或不明療效,避免輕信廣告花了冤枉錢、甚至危害健康。南市衛生局表示,為維護民眾健康,台南市在2025年食品廣告監控件數達2792件、查獲違規案件456件。該局強調將持續加強對食品廣告的監控與稽查,對於涉及誇張、不實、易生誤解或宣稱有醫療效能的廣告,將依《食品安全衛生管理法》第28條規定,處以新台幣4萬元以上400萬元以下、或60萬元以上500萬元以下罰鍰,以遏止不法行為,保障消費者權益。
自由時報

旗山天后宮今(20)日初四上午抽出馬年國運籤:「欲去長江水闊茫,行船把定未遭風,戶內用心再作福,看看魚水得相逢」,廟方揭示此籤屬於「先憂後吉、穩中求進之象」、「先審慎、後開展」,寓意來年國運走勢雖有挑戰,但終能逢凶化吉、轉危為安。旗山天后宮管理委員會主委葉冠億指出,首句「欲去長江水闊茫」,長江水闊,比喻國際局勢遼闊而變動難測,象徵2026年全球經濟、地緣政治仍多波動,外在環境充滿不確定性。台灣如同行於廣闊江面,須審慎判斷方向,不可躁進。
聯合報

初四好天氣,出遊、返工的車流都湧現,國道5號雪山隧道上午10時主線回堵4.5公里,隧道內時速約40公里,北上各交流道都有...
聯合報

民進黨桃園市議員黃瓊慧今天上午表示,位在桃園區的服務處外過年張貼兩張總統、副總統的「七喜春來」春聯,昨天發現遭人破壞,其...
TVBS

UNIQLO優惠來了!春節開工優惠今(20)日提前開跑,輕暖科技連帽外套、西裝外套下殺300元,褲裝、T恤也有特價。GU優惠也開跑,同樣最多特價300元,外套、上衣、寬褲、褲裙通通有優惠。
經濟日報
行政院長卓榮泰今天大年初四在台中市參香祈福說,台中是中部地區智慧精密新核心,希望傳統產業升級、農業升級智慧農業,高科技產...
經濟日報
疾管署表示,急診類流感、腹瀉人次通常於春節期間達高峰。根據最新統計,初三類流感及腹瀉就診人次都比初二下降,且相較於去年農...
自由時報

新北市土城區中央路員和公園,不只是綠意盎然及老少遊戲設施完備充足,整體環境更融入客家文化,包括桐花造型的兒童攀爬架,還有樹蔭及涼椅可供長輩聊天休息,讓公園帶給社區休憩空間,也結合土城地區特有的客家風情。土城區長周晉平說,土城早期以農業為主,曾經散布著不少客家族群;隨著工業區設置與都市發展,人口快速增加,客家聚落逐漸隱身,翻新後的員和公園讓客家文字與文化底蘊悄然再現,成為居民日常生活的一部分,在地員林里長蔡黃地分享,公園改造後,人潮明顯增加,不論親子家庭或長輩散步,都願意多停留一會兒,公園不只是變漂亮,更因為文化元素的加入,讓居民感覺這裡就是社區的一部分。
ETtoday

春節連假進入尾聲,許多民眾發現自己「腫」了一圈。營養師高敏敏指出,這往往不是真的長胖一公斤,而是因為聚餐重口味、宵夜加碼及酒精助攻,加上熬夜作息紊亂,讓身體陷入「嚴重水腫」與「腸胃抗議」的雙重困擾。
中央社
總統府秘書長潘孟安春節前夕,特別前往屏東南州精忠育幼院探視院生。他說,守護孩子平安長大的心永遠不會變,希望能藉此呼籲各界持續關注弱勢兒少,讓溫暖在南國陽光下持續傳遞。
NOWnews
立陶宛總理魯吉寧涅(Inga Ruginienė)本月表示,不排除將位於首都維爾紐斯的「台灣代表處」改為「台北代表處」,引發有關立陶宛自從去年新政府上任後,是否兩岸政策...
自由時報

迎接春節人潮,嘉義市文化公園青蛙主題遊戲場已完成整修,在春節期間開放,整合式滑梯組與多元遊具配置,以耳目一新的遊憩體驗,吸引許多民眾前來共享歡樂時光。嘉義市長黃敏惠表示,嘉義市有38座各具特色的公園,文化公園兒童遊戲場整修落實「安全升級、分齡設計與共融遊戲」的核心理念,整修後適用2歲至12歲的孩童,透過不同高度與形式的滑梯設計,搭配攀爬架、穿越網與平台動線,讓孩子依年齡選擇挑戰;遊戲場設有遮陰設備,讓民眾在炎熱天氣下也能於安心遊玩;人工草皮下方鋪設多層防護軟墊,提升防護效能。
TVBS

日本首相高市早苗18日連任後,中國常駐聯合國代表傅聰隔日發表強硬聲明,警告日本若以任何藉口行使集體自衛權介入台灣問題,將構成對中國的侵略!同時中日民間衝突頻傳,一名香港遊客在札幌遭日本男子攻擊受傷。
ETtoday

民眾黨主席黃國昌日前已表態參選新北市長,趁著農曆春節假期積極展開全台走春拜票行程,不料過程中風波不斷!黃國昌自14日掃街開始,接連在初一、初四的走春行程中遭遇民眾抗議或言語嘲諷,其中初四嗆聲民眾更當街高喊「臭俗辣」,令他尷尬不已。
自由時報

高雄一名邱姓男子與家人趁著春節連假北上到平溪地區遊玩,未料昨天上午9時許,行經石底橋附近時,發現車輛出現異狀,行駛困難,緊急停車查看,發現胎壓嚴重不足,但適逢年假期間難以求援。所幸,平溪派出所長謝承軒碰巧駕車巡邏經過,見邱男站在路旁主動向前關心,得知狀況後,請同仁協助打氣救援,讓邱男能安全返家。新北市警瑞芳分局平溪派出所長謝承軒當時正在執行勤務,發現邱男頻頻在車旁打電話,便詢問其狀況。後來得知,其胎壓嚴重不足,貿然下山,恐發生危險,加上連假期間山區道路救援不易聯繫,周邊也找不到修車廠可即時協助,且人生地不熟,不知如何是好。
自由時報

大年初四迎財神,屏東都城隍廟今天準備了1萬2千份錢母免費發送,吸引大批民眾排隊領取,拿到錢母的民眾十分開心,趕緊到財神爺面前過爐並摸一摸財神殿前的大金元寶,希望能在新的一年帶來好財運。大年初四在習俗上是迎接灶神和財神為重要日子,以祈求新年財運亨通與家庭和樂,許多廟宇都選在這一天舉辦迎財神活動,增添春節熱鬧氣氛。
Newtalk

日本政府今(20)日公布的數據顯示,一月份通貨膨脹有所放緩。這對不久前才在選舉中大獲全勝的首相高市早苗來說,是一大好消息。《法新社》報導,亞洲第二大經濟體日本的物價飆漲,是導致日本前兩位首相下台的原因之一,而日本第一位女首相高市已將對抗通膨作為優先要務。數據顯示,不含生鮮食品的核心消費者物價指數(C
NOWnews
為備戰今年3月舉行的第六屆世界棒球經典賽(WBC),日本武士隊監督井端弘和今(20)日在宮崎集訓期間透露,為了掌握小組賽勁敵韓國與台灣的最新戰力,已決定分別派遣首...
ETtoday

太平山國家森林遊樂區是熱門景點,擁有翠峰湖、太平山莊、蹦蹦車等知名景點與住宿休閒設施,除了颱風與特殊狀況外,通常都是全年開放,包括今年春節只休小年夜到初一共3天。但林保署宜蘭分署表提醒,為進行道路路基復建工程,預計從3月3日起到4月30日為止,將會局部休園2個月。
自由時報

民進黨新北市長提名參選人蘇巧慧20日赴中和福祥宮、和美宮參香祈福,她表示自己從大年初一到初四,每天都在各地的宮廟和大家說新年快樂,希望用這樣的態度,讓大家看到團隊的活力,「把長跑當作短跑衝刺」、「用全心全意愛新北」這樣的態度,贏得更多市民肯定。蘇巧慧競選團隊19日公佈第二支政績影片,講述到和奧運金牌林郁婷的相識的過程,蘇巧慧表示,林郁婷是她在選區認識的學生運動選手,當時她還不是奧運金牌,但是她看到像林郁婷這麼努力的選手,在從事拳擊這一項當時比較冷門的運動,中間有遇到比賽狀況、還有訓練器材不足等等,團隊都一一的和教練、和學校一起來解決。
中央社
疾管署表示,急診類流感、腹瀉人次通常於春節期間達高峰。根據最新統計,初三類流感及腹瀉就診人次都比初二下降,且相較於去年農曆年同期,類流感及腹瀉降幅逾5、6成。
NOWnews
2026年(農曆丙午馬年)全台各大宮廟的國運籤已經陸續在農曆春節期間初一至初四抽出。綜觀各家廟宇的籤詩結果,今年台灣的整體國運趨勢可以用「經濟產業看好(特別是科...
ETtoday

男子阿輝(化名)去年3月間被警方查獲通緝身分,竟當場對警員辱罵三字經,並說出「林北現在是通(緝)2個月而已,X你娘,當作林北要犯逆」,結果反被警員提告求償15萬元。台中地院沙鹿簡易庭法官日前審理之後,判處阿輝應賠償警員6萬元。
TVBS

日本北海道19日降下大雪,札幌市24小時內降雪達44公分,造成135個航班及295列客運列車取消。一間倉庫屋頂積雪滑落,3名工人遭活埋,其中1名69歲男子不幸罹難!專家指出氣溫回升時,金屬板上積雪極易滑落釀災。
中國時報

總統賴清德(18日)南下武廟祈福,一旁陪同參拜的林姓主委,卻因感染諾羅病毒噴吐,並噴濺到賴清德身上。營養師曾建銘表示,不只是諾羅病毒,感染輪狀病毒也會導致腸胃不適。染病期間自我照顧有兩大原則為防脫水與讓
中央社
行政院長卓榮泰今天大年初四在台中市參香祈福說,台中是中部地區智慧精密新核心,希望傳統產業升級、農業升級智慧農業,高科技產業園區繼續升級,中央政府將編預算繼續建設。
壹蘋新聞網

【記者李俊毅/台北報導】今天是大年初四,各大宮廟也陸續抽出今年馬年國運籤,北港朝天宮抽出的「國運籤」抽到己卯籤。解籤師粉專「興趣使然的解籤師」解讀,這張籤在六十甲子籤詩中,是出了名的「示警之籤」。籤詩故事「劉備入贅東吳」,表面是喜事,實則暗藏殺機、各方勢力各懷鬼胎。粉專直言,這支籤雖然不是下下籤,但話說得很重,畫風與其他廟的籤都很不一樣,是非常沉重的灰色。
中國時報

紅蘿蔔、白蘿蔔不能一起吃,營養會抵銷?營養師楊斯涵指出,這樣的說法並不完全正確,一起煮湯沒問題,生吃才要分開,若真的要一起生吃,可以加點醋來避免維生素C流失。此外,楊斯涵也提醒,紅蘿蔔的精華都在皮下,
聯合報

今天大年初四,新北市長侯友宜到今前往土城五穀先帝廟參拜,針對台北市副市長李四川將選新北市長,侯李兩人預計何時合體引發外界...
中國時報

英國金融時報報導,輝達即將完成對OpenAI的300億美元投資,取代兩家公司去年達成的1,000億美元長期投資承諾。傳出該筆投資將是OpenAI新一輪融資的其中一部份,最快可能在本周末完成。另外,OpenAI尋求在最新一輪的融
經濟日報
南非佛光山南華寺上週末提前舉辦圍爐暨新年蔬食品嘗會,今年以「和諧共生、馬到成功」為精神主軸,結合新春慶典與蔬食倡議,推廣...
聯合報

台灣第一位原住民律師、泰雅族人楊志航(族名 Pawan Yumin)於2月9日因病辭世,享壽66歲。靈堂設於苗栗縣泰安鄉...
風傳媒

在這起案件中,對方自稱是金管會人員,語氣嚴肅,反覆強調若不配合,帳戶可能被凍結,甚至會被提告詐欺。更關鍵的是,對方能準確說出受害者的部分個資,讓人誤以為真的是官方人員介入處理,警方分析,過年期間民眾本就不希望惹上麻煩,加上擔心影響帳戶使用,往往會在壓力下失去判斷力。
三立新聞

導演吳念真日前登上三立新聞專訪節目《話時代人物》,與主持人鄭弘儀對談人生與身後規劃,談到過往因涉入政治議題遭中國網友辱罵「台獨狗」,他不諱言確實被罵得很兇,尤其當年替時代力量站台時「最可怕」,對岸甚至「傾巢而出」式攻擊,連合作的出版社、劇院與代理商都接到電話被罵,原本在中國出版賣得不錯的書與舞台劇演出也因此受到影響,但他看得淡然,直說「兩邊就這樣子」。趙浩雲
三立新聞

春節前夕,總統府秘書長潘孟安特別回到家鄉屏東,前往位於南州的精忠育幼院探視院生。一走進院區,孩童們見到熟悉的身影,隨即熱情簇擁而上,大喊「縣長阿伯新年快樂!」儘管潘孟安已卸下縣長職務前往中央任職,但對孩子們而言,這一聲「縣長阿伯」不僅是對過往照顧的深深依戀,更展現了潘孟安長期紮根地方、與孩子們建立的深厚情感。潘孟安也帶來了特製的「總統府版乖乖」與賀歲福袋,讓現場洋溢著濃濃的過年氣氛。
三立新聞

「竹北吊車大王」的胡漢龑旗下的啟德機械起重工程公司,位列亞洲前3名,還擁有4妻及14名子女;而「台灣賽車教父」廖老大曾因「打龜」事件人氣暴漲,並一度跨足手搖飲界。另外超哥被稱為「全台最有錢的YouTuber」,本身是長照產業的老闆,3人炫富作風常引發話題。有網友日前好奇問:「吊車大王、廖老大、超哥家誰最有錢?」對此,有其他網友揭內幕:「老婆數量決定了一切。」
NOWnews
春節前夕,總統府秘書長潘孟安特別回到家鄉屏東,前往位於南州的精忠育幼院探視院生。一走進院區,孩童們見到熟悉的身影,隨即熱情簇擁而上,大喊「縣長阿伯新年快樂!...
ETtoday

台北市松山分局中崙派出所日前出現離奇一幕,一名男子自行走進派出所,向值班員警表示要領取寄存信件,卻因說話含糊、神情怪異,引起警方注意,沒想到下一秒竟「自爆」藏毒。
自由時報

農曆春節期間,總統府秘書長潘孟安回到家鄉屏東,特別前往南州鄉的精忠育幼院探視院生,儘管潘已卸下縣長職務在中央任職,一走進院區,院童們依然熱情地簇擁而上,大喊「縣長阿伯新年快樂!」展現潘孟安長期扎根、與孩子們建立的深厚情感,潘也帶來總統府特製版「乖乖」與賀歲福袋,洋溢溫馨年味。探訪過程中,一名小朋友興奮地向分享自己已經學會九九乘法表,潘孟安也立刻化身「阿伯考官」當場出題,或許是面對秘書長太過緊張,小朋友一時「卡關」答不出來,一旁的小同學見狀頻頻小聲「打Pass」解圍,逗趣的互動場面讓現場笑聲不斷。
自由時報

雲林今年有6鄉鎮市辦理燈會活動,各有特色,從傳統信仰、地方文化到藝術創作,春節假期吸引許多民眾走春賞燈,燈會展期一路延續至元宵節,縣府與各公所邀請大家把握假期來雲林賞燈,感受雲林燈海魅力。北港燈會以「潮光潮」為主題,規劃6大主題、10大燈區,邀集海內外15名藝術家共同創作,串聯北港重要文化資產場域,結合宗教信仰、水文記憶、糖業文化與永續理念,地點在朝天宮、武德宮、義民廟、水道頭文化園區及北港糖廠等地。
自由時報

台北市中正區某知名連鎖咖啡店爆竊案,有民眾將包包留在位子上「佔位」,排隊購買咖啡,未料,包裡價值6萬元的愛馬仕皮夾被摸走,憤而報警,警方調閱監視器,鎖定咖啡廳的劉姓女常客。數日後,警方得知劉女再度返回店裡消費,立即前往逮捕,詢後依竊盜罪嫌移送北檢偵辦。據了解,被害人當時把包包留在位子上,是為了佔位,也相信不會有人敢任意翻動,沒想到,劉女經過時心生歹念,趁四下無人之際,迅速拉開包包拉鍊,偷走裏頭價值6萬元的愛馬仕皮夾,直到被害人回位,才驚覺皮夾和裡頭數千元的現金已不翼而飛,立即向附近派出所報案。
Newtalk

中國對台軍事威脅不斷之際,美國對台立場備受關注。民主黨籍紐約州聯邦眾議員歐加修-寇蒂茲(Alexandria Ocasio-Cortez,簡稱AOC)13日出席慕尼黑安全會議(Munich Security Conference)時被問及美國是否應協防台灣時她當場結巴、語塞含糊其詞,影片曝光引發議論
中國時報

基隆市長謝國樑20日上午赴七堵區室內兒童樂園視察,並分發1元紅包,祝福在場的小朋友及家長新年快樂。謝國樑表示,感謝七區室內兒童樂園的工作人員過年期間持續服務民眾,也希望民眾能夠開心地帶孩子來放電。基隆市
三立新聞

今(20日)為大年初四,民進黨立委、新北市長參選人蘇巧慧參拜新北市中和福祥宮並接受媒體聯訪。蘇巧慧指出,整個年節期間都在各地的宮廟和大家說新年快樂,從板橋到林口,從八里到三重,每一個地方都盡量能夠到,也看到人潮越來越多,受到的歡迎也越來越熱烈,真的是人氣爆棚,「希望把長跑當作短跑衝刺,這樣的態度、用全心全意愛新北這樣的態度,希望能夠贏得更多市民的肯定,我們一起加油。」
經濟日報
金管會推動金融科技發展交出階段性成績單。自2023年8月發布「金融科技發展路徑圖2.0」以來,規劃3年期、四大面向共65...
聯合報
金管會推動金融科技發展交出階段性成績單。自2023年8月發布「金融科技發展路徑圖2.0」以來,規劃3年期、四大面向共65...
ETtoday

大年初四迎財神,隨著農曆春節長假進入尾聲,投資人無不期盼金馬年台股能迎來開門紅。根據過去10年統計,台股春節紅盤日上漲機率高達7成,且開盤後10日的上漲機率更一路狂飆至9成之多。在這波年後強勢的多頭氣氛中,主動式ETF「復華台灣未來50(00991A)」因提前重金押寶MSCI全球標準指數唯一新增的台股黑馬「鴻勁(7769)」,成為迎財神日最受市場熱議的理財焦點。
自由時報

2026「高雄冬日遊樂園」今(20)日出現彩蛋,8米高「Q版初代超人力霸王」氣膜上午實施航行展演測試,後續將視天候狀況,不定期領航愛河灣,邀請民眾來高雄一起追逐超人翱翔天際的身影,感受超萌英雄的療癒魅力。高雄市觀光局長高閔琳表示,「Q版初代超人力霸王」的可愛造型深受大小朋友喜愛,每次現身皆成為吸睛焦點,今天上午10點進行海上航行與飛行測試,搭配太陽能「愛之船」再度於愛河灣航行,後續也將視風況等天候狀況,不定期領航愛河灣,民眾可前往高雄流行音樂中心音浪塔前廣場、珊瑚礁群好望角及鯨魚堤岸,捕捉Q版8米初代超人力霸王與15公尺高的「超人力霸王」(初代、迪卡)同框畫面。
經濟日報

新春年假買氣勢不可擋!宏匯廣場表示,自小年夜迄今人流逼近10萬人次,館內主題餐廳預約率高達五成,尖峰時段館內停車場及美食...
聯合報

新春年假買氣勢不可擋!宏匯廣場表示,自小年夜迄今人流逼近10萬人次,館內主題餐廳預約率高達五成,尖峰時段館內停車場及美食...
ETtoday

南部人氣速食「丹丹漢堡」除了餐點美味,尤其價格實惠,是許多觀光客到訪必吃的美食。就有網友指出,過年期間到中南部走春,本來滿心期待可以吃丹丹漢堡,沒想到店家自2月15日起公休六天,初五(21日)才恢復營業,一票網友超崩潰,「我每年都為了丹丹回去,每年都吃不到」。
ETtoday

台中警方執行「馬上安全」春節酒測專案,統計從2月3日至19日,共取締215件酒駕,其中有34件還是累犯,此外,由於強力取締加上見警率大增,今年2月份交通事故較去年同期死傷人數減少146人,發生件數降低125件,顯見中市警推動的執法策略已呈現顯著成效。
TVBS

花蓮縣壽豐鄉鯉魚潭,昨(19)日下午2時55分發生一起溺水悲劇,當時一家五口搭乘天鵝船遊湖,卻不慎翻覆,導致1名9歲男童受困船艙底部溺斃。有目擊民眾指出,疑似因附近快艇經過產生波浪才導致意外,對此,縱管處回應,將確認船舶業者是否有超速情況。潛水救災專家也稱,可能是船上人員對重心和操作不熟悉,因此遇到湧浪導致翻覆。
壹蘋新聞網

【記者江孟謙/台北報導】大同分局寧夏路派出所日前接獲民眾報案,稱在社交平台的動態貼文上看到他認識的一名外國朋友不明原因躺在北市某處的人行道上,而他正在趕來的路上,因怕外國友人發生危險,請警方緊急到場協助,擔服巡邏勤務的警員金寧惇獲報後立即趕往現場查看。
經濟日報

金馬新春假期來到大年初三,統一超商(2912)經營的全台逾7,200家7-ELEVEN,並串聯5大國道服務區、國際機場、...
聯合報

金馬新春假期來到大年初三,統一超商(2912)經營的全台逾7,200家7-ELEVEN,並串聯5大國道服務區、國際機場、...
聯合報

在格陵蘭爭議加深歐美關係緊張之際,歐盟執委會主席范德賴恩(Ursula von der Leyen)將於3月訪問格陵蘭,...
自由時報

花卉界年度盛事之一的「士林官邸鬱金香展」又來啦!2月26日至3月8日登場,台北市工務局公園路燈工程管理處表示,今年主題是「浪漫滿園」,西式庭園以浪漫相「鬱」為設計主軸,設置象徵承諾與永恆的大型愛心鑽戒裝置藝術,將心型底座結合鑽戒意象構造物,襯托出鬱金香的花語「愛」、「永恆的祝福」與「熱情的表白」。公園處園藝管理所主任王淑雅說,愛心鑽戒巨作預計26日同步亮相,回顧創作理念,團隊先前檢視原有展覽規劃時,發現配置尚有不足,雖非專業設計背景,但仍共同努力集思廣益打造出這座兼具情感象徵、視覺震撼的亮點。確認構想後,接著著手設計初稿,從整體比例、線條流動到把意象轉化為實體,反覆推敲細節,讓愛、承諾及永恆的抽象概念,成為能被看見、感受到的存在。
中國時報

春節返鄉出遊,除了自己開車外,搭乘大眾交通工具也是一個選擇。一名網友分享,從宜蘭羅東搭客運回台北,一張票價竟然只要70元,比他的早餐還便宜,在網路上引起討論;其實,交通部公路局為鼓勵民眾多加利用國道客運
Newtalk

又有一名刮刮樂 2,000 萬元頭獎幸運兒誕生了!。台彩今(20)日表示,位於新北市土城區的「常生彩券行」昨(19)日出現頭獎得主,是一名房仲業新鮮人,趁春節連假期間到彩券行,想為事業討個好彩頭,起初連刮 3 張都不如預期,但領錢後,再回頭繼續買,第二張就幸運刮中「2,000 萬超級紅包」頭獎 2,
中國時報

富邦啦啦隊Fubon Angels人氣成員慈妹(本名:彭翊慈)擁有32C上圍和甜美臉蛋,近日她到北海道滑雪度假,相當有誠意的曬出拜年照片,可見她上半身僅穿灰色內衣,套了件橘紅色防風外套,大方秀出東西半球和事業線,引
NOWnews
庾澄慶(哈林)和前妻伊能靜育有23歲獨子「小哈利」庾恩利,雖然雙親離婚17年,小哈利與父母的關係依舊相當親密,適逢農曆春節,日前小哈利同框庾澄慶跟大家拜年,他當...
三立新聞

民眾黨主席黃國昌於春節期間展開地方基層行程,昨(19)日南下彰化二林鎮參拜祈福並發放開運紅包。現場雖聚集大批支持者(小草)夾道歡迎,卻意外爆發口角衝突。一名反對群眾在黃國昌步入廟宇時,近距離對其怒罵「臭俗仔」,甚至一度引發雙方推擠,現場氣氛瞬間降至冰點。
中央社
南非佛光山南華寺上週末提前舉辦圍爐暨新年蔬食品嘗會,今年以「和諧共生、馬到成功」為精神主軸,結合新春慶典與蔬食倡議,推廣環保永續與愛護生命理念,吸引僑胞及當地民眾踴躍參與。
壹蘋新聞網

【記者張家玲/台北報導】誰說高級珠寶非得束之高閣、在盛裝時才能現身?來自義大利維琴察的珠寶品牌FOPE,帶著傳承百年的金工靈魂正式進駐台灣市場。不同於傳統珠寶給人的距離感,創立於1929年的FOPE,一直致力於研究金屬結構與佩戴感受的平衡,將金飾化為如絲綢般柔軟的第二層肌膚,展現隨性且精緻的奢華美學。其中ARIA系列項鍊韓團CORTIS馬丁和金主訓都淪陷其魅力中。
經濟日報
香港交易所主席唐家成今天表示,今年以來已有24家企業在港上市,目前仍有488家等候上市
ETtoday

新竹縣關西鎮一處草莓園日前驚傳遭竊,黃姓男子為了讓女兒過年能吃到草莓,竟趁草莓園打烊後潛入採摘,偷走市值約1萬2000元的草莓。園主發現後報警,並憂心草莓才剛噴藥,擔心遭竊者食用後恐有中毒風險,請警方緊急協尋。所幸警方迅速通知黃男到案時,草莓尚未被食用,全案訊後依竊盜罪嫌移送偵辦。
TVBS

卡通《名偵探柯南》的柯南,是受困小學生軀體的高中生,現實生活中還真有這號人物,《戲說台灣》的「小少爺」專業戶鍾國洪,外表看起來是135cm的小童星,豈知實際年齡已經47歲。
自由時報

花蓮鯉魚潭風景區在大年初三發生無動力天鵝腳踏船翻覆,船上9歲男童身穿救生衣往上浮,卻被翻船罩住無法逃出,被救出時已沒了呼吸,家長控訴是快艇通過時的湧浪造成翻覆。對此縱管處表示,鯉魚潭快艇有限速10海哩規定,警方正在調相關影像,如確認超速,將涉犯公共危險罪,也會依《發展觀光條例》處5000元以上100萬元以下罰鍰。鯉魚潭搭乘天鵝船多危險?曾搭乘的遊客批評,鯉魚潭區欠缺管理,放任遊艇亂衝,船艇激起的湧浪所到之處就會讓天鵝船、划船、立槳猛烈搖晃險些翻船,甚至還有快艇惡意飆速,讓他當場發出國罵,「從google評論看,以前就有很多人反映,去一次就不敢再參加」。
自由時報

台北市麟光捷運站年前突發意外,有民眾搭乘捷運,發現1名男子昏厥於手扶梯上,嚇得向站務人員通報,在出入口執行守望勤務的派出所警員得知後,也立即前往救援,所幸男子後續恢復意識,僅頭部受有擦挫傷,未釀憾事。據了解,大安分局臥龍街派出所警員韓佳晉、吳婉綾,日前於轄內捷運站出入口執行守望勤務時,接獲站務人員通報,稱月台有民眾因不明原因昏厥、倒臥於手扶梯上,情況緊急。
鏡週刊

農曆春節假期進入尾聲,昨日大年初三的國道景象相當驚人,全台交通量飆升至平日的1.4倍之多。根據高公局觀察,昨日下午起多處路段化身「大停車場」,包括國1、國3北向部分區段,甚至到了今日凌晨1、2點才逐漸紓解。今日初四(20日)的北返壓力預計更勝昨日,預估全日交通量將衝上134百萬車公里,用路人必須做好心理準備。
TVBS

今(20)日為大年初四,出遊、返鄉人潮來到高峰,台南「Pokémon GO Tour:卡洛斯-臺南」也展開為期3天的活動(20日至22日),在台南都會公園以及奇美博物館廣場熱鬧舉辦,吸引大量玩家參與,再加上奇美博物館的「埃及特展」也在同一時間舉行,台1線及台86線的車流明顯增加許多。台南市府呼籲民眾,配合交通疏導措施,並多加利用大眾運輸工具前往現場,以減少塞車風險並確保行程順利。
壹蘋新聞網

【吳惠菁/綜合報導】汪小菲和馬筱梅將迎接馬寶寶,年前帶著大S的小孩玥兒、箖箖回台北過年,除夕吃馬媽媽張羅的年夜飯,一邊看央視《春晚》,初一晚上到淡水河邊放煙火,初二逛饒河街夜市吃吃喝喝,汪母張蘭也要飛來台抱小孫子。
中國時報

全台急缺血!春節年假期間捐血量減少,但意外事故頻傳、醫院用血量增加,台灣血液基金會統計,全台血液安全庫存量全血平均僅剩3.8天,尤其O型血只剩2.9天,台中捐血中心庫存O型血更只剩1.2天,呼籲民眾踴躍捐血,維
NOWnews
民進黨高雄市長初選告一段落,確定由立委賴瑞隆出線之後。緊接著市議員初選民調即將在3月2日登場。民進黨尋求連任的現任議員跟新秀紛紛吹起本人風在各路口拜票,爭取選...
ETtoday

北韓(朝鮮)國內最大政治盛事——朝鮮勞動黨第九次代表大會昨(19)日在首都平壤正式召開,來自黨中央與地方共5000多名代表參與。
NOWnews
農曆春節期間,許多人都會到彩券行試手氣,然而台語歌王朱約信近日卻在Threads上PO出彩券行擠滿人的照片,狠酸:「一群貪財的可悲的人,台灣就是有你們這些才會搞成這...
三立新聞

台灣擁有不少大型量販通路,其中好市多全台共有14間分店,是許多家庭補給生活用品與大宗採購的首選。不過,有網友發現,家樂福量販加上超市超過300間,據統計年營收約840億元,卻仍略遜於好市多約1400億元,差距明顯,因此好奇兩者差別究竟在哪。
經濟日報

美國總統川普19日警告伊朗,「最多」僅剩15天可與美國就核計畫達成協議,否則將「發生不好的事」。華爾街日報獨家報導,川普...
聯合報

美國總統川普19日警告伊朗,「最多」僅剩15天可與美國就核計畫達成協議,否則將「發生不好的事」。華爾街日報獨家報導,川普...
中國時報

今天2月20日大年初四,是新春連續假期第7天,蘇花路廊交通流量已見上升,據公路局東區養護工程分局的最新統計資料,截至上午10時,蘇花路廊南下車流量為2559輛,而北上車流量已達4490輛,顯示出北返車潮的逐漸增多。
中國時報

台中一名12歲少女小晴(化名)透過交友軟體認識男子阿龍(化名),並發生性行為,阿龍被依對未滿14歲女子強制性交罪起訴。未料法官審理時發現,小晴自稱21歲,案發後兩人在另一款軟體偶遇聊天,她更主動傳語音嘻笑。
三立新聞

美國華裔花式滑冰選手劉美賢(Alysa Liu)今天在米蘭-科爾蒂納(Milan-Cortina)冬季奧運以充滿能量的表現逆轉奪金,退役兩年後華麗回歸的歷程激勵人心。
ETtoday

全台八大宮廟已抽出2026年國運籤,其中3間抽出下下籤,2間為中下籤、2間給出中上籤、1間為中上上籤,整體氣氛偏向保守甚至示警意味濃厚。從「抱薪救火火增煙」到「夜行燈火中途滅」,不少籤詩字句直指波動與考驗。另外,高雄雲天宮則示警,今年恐怕同樣難逃天災人禍的交錯衝擊。
中央社
波音2024年星際飛機任務出包,導致兩名太空人受困國際太空站近一年,美國國家航空暨太空總署(NASA)今天公布全面報告,揭露NASA與長期承包商波音在如何安全地將太空人送回地球一事上難以達成共識,雙方出現溝通不良與「不專業的行為」。
壹蘋新聞網

【記者江孟謙/新北報導】淡水1名34歲張姓男子,本月12日竟光天化日之下持「圓鍬」暴力破壞娃娃機台行竊,得手近1萬元,警方於張男犯案後1小時將他逮捕,更查出其為涉及毒品及竊盜案件,遭雙北地檢署發布通緝。
壹蘋新聞網

【國際中心/綜合外電】到底有沒有「外星人」?是許多地球人最想知道答案的問題之一,如果是機密的話,那美國總統總該知道了吧。美國前總統歐巴馬日前稱「他們(外星人)是真的!」震驚全世界。對此,美國現任總統川普才痛批歐巴馬「洩密」、「他犯了大錯」;今天他就下令,美國政府與軍方公開「外星人」檔案。
TVBS

今年農曆春節連假有9天,有些店家也會直接休到下週一初七(23)才開工。而近日有網友發現,連鎖便當店「梁社漢」初二(19)就已開始營業,讓他不禁直呼是「過年吃飯救星」。貼文發布後引發討論,有人表示全家在過年期間也有到店裡用餐,不過有其他民眾則推薦速食餐廳或百貨公司美食街。