TVBS
怕被戳肛門!他1天「狂拉3次血便」慘罹大腸癌 半邊腸子全切除

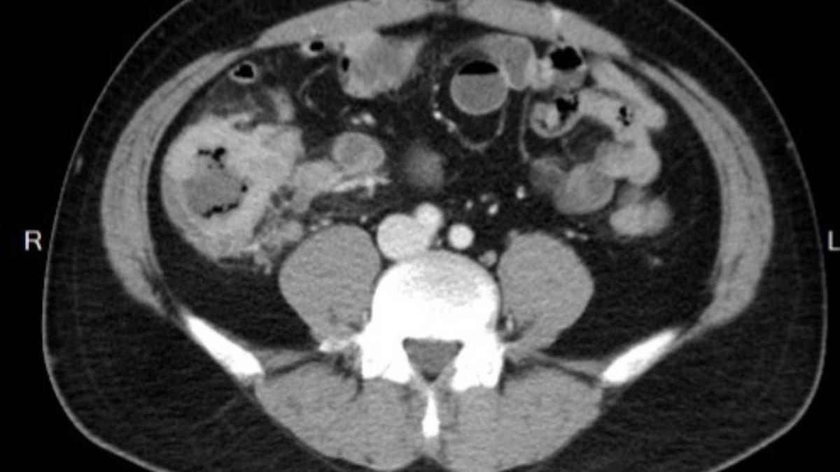
大腸癌初期症狀往往不明顯,千萬別因害怕檢查錯失治療良機!急診專科醫師貝琪梨日前分享令人惋惜的案例,一名48歲男子因一天連解3次血便前來求助,經檢查確診為大腸腺癌,最終手術切除右半側大腸。醫師透露,男子曾因覺得大腸鏡「戳進肛門」的感覺過於可怕,拒絕與母親一同檢查,若當初配合,也許一切都會不一樣。她沉痛呼籲,「預防勝於治療」,再忙也務必定期安排例行健檢。
這是第 1 頁,共 888 頁
TVBS

大腸癌初期症狀往往不明顯,千萬別因害怕檢查錯失治療良機!急診專科醫師貝琪梨日前分享令人惋惜的案例,一名48歲男子因一天連解3次血便前來求助,經檢查確診為大腸腺癌,最終手術切除右半側大腸。醫師透露,男子曾因覺得大腸鏡「戳進肛門」的感覺過於可怕,拒絕與母親一同檢查,若當初配合,也許一切都會不一樣。她沉痛呼籲,「預防勝於治療」,再忙也務必定期安排例行健檢。
經濟日報
氣象專家吳德榮說,今明兩天各地晴朗,白天微熱、日夜溫差大;19至21日微弱鋒面接近並掠過台灣北部海面,水氣增多、北台灣略...
TVBS

馬英九文教基金會拋出震撼彈,宣布前執行長蕭旭岑與前員工王光慈已於2月底離職,並嚴正聲明兩人未來的言論與行為「均不代表馬英九前總統與基金會」。這份形同「破門令」的決絕切割,引發外界高度關注。對此,政治工作者周軒指出,這場看似「自斷手腳」的戲碼,實則是馬英九老謀深算的「一本萬利」布局。
聯合報

2026年嘉義縣舉辦台灣燈會,歷經13天展期圓滿落幕,日前閉幕典禮嘉義縣長翁章梁在交通部觀光署長與交通部次長見證下,將燈會主辦權交棒給下一屆主辦縣市苗栗縣。苗栗縣長鍾東錦率縣府團隊觀摩接棒,為2027年燈會提前暖身。燈會最吸睛亮點,莫過於首度跨海合作、由日本電玩大廠任天堂打造的「超級瑪利歐星燦嘉年華」燈區。以經典角色瑪利歐為主題的燈區,結合大型裝置與互動設計,成為整個燈會人氣最旺的打卡熱點,展期幾乎天天湧入人潮。
三立新聞

曾被封為「微博女王」的46歲中國女星姚晨,與攝影師曹郁結婚近15年,未料兩人於16日透過聯合聲明證實早已離婚。消息一出迅速登上微博熱搜,也讓姚晨過往的兩段情史再次受到關注。
ETtoday

中美雙方在法國巴黎當地時間3月15日至16日舉行經貿磋商。商務部國際貿易談判代表兼副部長李成鋼表示,雙方團隊進行了坦誠、深入、建設性的對話,就一些議題上達成初步共識,下一步雙方將繼續保持磋商進程。另外,針對美方近期連續啓動兩起涉及中方的「301調查」及相關投資限制措施,李成鋼指出「中方在磋商中進行嚴肅交涉,表達嚴正關切。」
聯合報

一名女網友使用鋼製吸管飲用氣泡飲料時,驚見吸管口出現咖啡色爬蟲,讓她感到噁心。經網友分析,推測該生物為蛞蝓,提醒吸管需保持清潔,以避免寄生蟲感染。
聯合報

深耕雲嘉南醫療25年嘉義縣大林慈濟醫院,去年1月升格為準醫學中心,成為嘉義區唯一獲此殊榮療機構。院方啟動新一階段發展藍圖,將斥資新40億元設置質子治療中心,目標5年內正式升格醫學中心,提升雲嘉南地區癌症醫療量能,縮短城鄉醫療差距。
中央社
華府對古巴實施嚴厲石油禁運,這個島國已全面陷入停電的黑暗中。美國總統川普今天揚言自己有「榮幸」拿下古巴,對古巴他想做什麼、就做什麼。
聯合報

新加坡一名27歲男子因性侵13歲女孩被判入獄9年5個月,並打鞭6下。女子在社交應用程式認識該男子,並在家中飲酒後發生性關係,未使用安全措施,面臨懷孕和感染風險。
ETtoday

美國總統川普(Donald Trump)16日針對鄰國古巴Cuba發表強硬言論,升高了威嚇口吻。他宣稱,他期待能有「榮幸」以「某種形式」拿下古巴,「我可以對它做任何我想做的事。」
TVBS

伊拉克當地時間17日凌晨,位於首都巴格達「綠區」的美國駐伊拉克大使館遭襲,館內設施起火。根據安全消息人士說法,兩架攜帶爆裂物的無人機鎖定美國駐巴格達大使館。
TVBS

全球AI盛宴!2026年輝達GTC大會主題演講中,輝達執行長黃仁勳表示,預估 Blackwell與次世代Vera Rubin平台到2027年將創造至少1兆美元的營收機會。技術亮點上,全新Vera Rubin平台整合了CPU、GPU及多項高速傳輸組件,更首度宣布將AI新創 Groq的LPU技術納入長期規劃,打造專為「代理式AI(Agentic AI)」設計的超級運算架構。市場焦點轉向黃仁勳點名的高速運算與基礎建設升級,台廠供應鏈憑藉先進製程與零組件優勢,有望享受紅利且受惠成為贏家。
自由時報

時序入春,正是品嚐國產洋蔥的最佳時節!今年度國產洋蔥因生長期間氣候穩定,質地細緻且鮮甜多汁。目前中部產區採收已進入尾聲,將由最具代表性的恆春半島東產區開始接力供應,目前產區已經陸續進入採收,台灣民眾整個春夏季都能吃到高品質的在地洋蔥。農糧署南區分署表示,本年期全台洋蔥種植面積約1338公頃,主要分布在雲林(42%)、屏東(28%)、彰化(17%)等地區。目前彰化、雲林及嘉義等中部產區採收順利,進度已達7至9成,預計3月底收尾;而深受老饕喜愛的屏東恆春半島洋蔥,多數處於關鍵的「結球生長期」,將陸續進入主要採收期。
ETtoday

馬英九基金會執行長,由台北市立大學教授戴遐齡接任,原執行長蕭旭岑卸任。作家朱宥勳在社群平台回顧戴遐齡過去擔任「體委會」主委的爭議,直言曾讓參賽WBC的王建民沒有早餐吃。
ETtoday

男子阿強(化名)與已婚女子小美(化名)相約進行性交易,但小美覺得他很臭,要求先去洗澡,沒想到洗完出來時,不僅人不見了,就連放在機車內的現金8200元也消失。雖然小美到案之後否認偷錢,但未獲得花蓮地院法官採信,日前仍被依犯竊盜罪判處有期徒刑2個月,得易科罰金6萬元。
三立新聞

2026新北市長選舉,據《美麗島電子報》最新民調顯示,若藍白合,39.1%支持國民黨李四川,38%支持民進黨蘇巧慧。作家趙曉慧說,這是國民黨國民黨在立法院的「焦土戰術」和王鴻薇對棒球議題的「瞎操作」,直接重傷了李四川這種「理性、務實、專業」的行政形象。李四川是受害者。
三立新聞

美伊持續開戰,目前荷莫茲海峽(Strait of Hormuz)仍是封鎖狀態,全球石油飆漲,對此,美國總統川普苦惱求救7國。沒想到,川普再出招,表示「相信自己將『榮幸地』接管古巴」,更直言「我認為我可以隨心所欲地使用它」。
三立新聞

新北市一名史姓毒品通緝犯(33歲)昨天下午在三峽肇事逃逸,被攔截時還企圖開賓士車衝撞員警,被當場開2槍制止,史男棄車逃離現場。警方調閱監視器鎖定史男行蹤,昨晚在鶯歌派出所前攔檢一輛計程車,逮捕在車內的史男,全案將依妨害公務、毒品等罪嫌法辦。
ETtoday

台北市大同區大龍街巷內16日深夜10時許傳出一起暴力衝突,警方調查,一名20歲的連姓男子懷疑女友與令名許男有染、疑似讓他「戴綠帽」,因此醋意橫生,撂來6名友人並持鎮暴槍與許男相約談判,未料2人見面後一言不合大打出手,許男見對方人多勢眾、且又有鎮暴槍,不甘示弱也拿出預藏的藍波刀反擊,當場將連男砍傷,後眾人鳥獸散。警方獲報後立即追查,並於11時許陸續將許男等人緝捕到案,目前全案正進一步偵辦中。
TVBS

國道1號北上29.2km處,今(17)日上午8時16分許發生兩車事故,目前占用外線道處理。已知現場回堵約2公里,呼籲用路人可改道,避免堵在路上。詳細車禍事故原因待釐清。
聯合報

美國隊昨天在S級球隊的過招中以2:1擊敗多明尼加隊,挺進經典賽冠軍賽,最後一打席壞球變再見三振的爭議,直到今天仍在美國隊的練球日記者會被提起,總教練德羅沙(Mark DeRosa)也表示,「看了那球的重播,我能理解為何多明尼加對那個判決感到不滿。」
經濟日報
輝達(NVIDIA)執行長黃仁勳表示,其先進AI晶片至2027年潛在商機至少1兆美元,加上國際油價挫跌,激勵美股收高;台...
聯合報

嘉義市長選戰升溫,民進黨提名立委王美惠,藍白陣營各自完成提名,藍白整合進入關鍵深水區。雙方預計3月底民調決勝,決定由誰代表藍白合出戰。隨著民調時程逼近,民眾黨提名張啓楷與國民黨提名翁壽良火力全開,從政策、組織到文宣聲量戰較勁,選戰白熱化。
聯合報

收假前一天,我走進戲院朝聖了這部話題度爆表的《陽光女子合唱團》。 進場前,戲院門口那張「淚光提醒」的告示牌顯得格外溫馨,甚至帶著一點預言式的體貼。當時我還在想,是什麼樣的故事能讓六點五億票房的人一起掉淚?看完後我才明白,這不只是一部關於受刑人的電影,這是一場與內在陰影搏鬥、在荒涼中重拾自我的「女英雄之旅」。
自由時報

國民黨前發言人蕭敬嚴爭取國民黨提名參選新北市議員,同黨立委徐巧芯、葉元之認為蕭敬嚴過去在政論節目屢次抨擊黨內同志,表態不支持。蕭敬嚴近日在臉書道歉表示,會深切虛心檢討過去的發言,但徐、葉仍不諒解。國民黨不分區立委提名人丁瑀今日表示,蕭敬嚴完全不用為言論自由道歉,國民黨真正的破口是黨主席鄭麗文,與其花時間對付蕭敬嚴,不如花心思對抗中國國家主席習近平。蕭敬嚴投入新北市議員選舉後,引發黨內反彈聲浪,有粉專特別整理他過去在政論節目抨擊黨內同志的言論,徐巧芯、葉元之均表態無法認同。徐巧芯說,很多內容她是第一次看到,不知道蕭先生的發言有多麼無恥。「如果他只是普通黨員要上政論節目賺錢,那隨便他,可是要爭取成為國民黨提名的候選人,應該就要有更高的標準與品質。」
中央社
氣象專家吳德榮說,今明兩天各地晴朗,白天微熱、日夜溫差大;19至21日微弱鋒面接近並掠過台灣北部海面,水氣增多、北台灣略降溫;22至25日天氣好轉,預估26日又有鋒面南下。
中國時報

杜拜國際機場週一(16日)爆發「無人機攻擊」事故,為維護旅客生命安全,當地民航局宣布機場暫停所有航班起降,所幸未傳出任何人員傷亡,婚後定居杜拜的女星吳思顏,原本一家人要出發前往義大利,為此臨時喊卡,讓她只
聯合報

勇士隊教頭柯爾(Steve Kerr)不僅握有NBA 9座金盃和奧運金牌,最新還多了「奧斯卡獲獎者」的新身份,他擔任執行製作人的紀錄片《空蕩的房間(All the empty rooms)》榮獲今年奧斯卡最佳紀錄短片,讓勇士教頭加入已逝傳奇「小飛俠」布萊恩(Kobe Bryant)、「俠客」歐尼爾(Shaquille O'Neal)和子弟兵柯瑞(Stephen Curry)行列。
三立新聞

德國車廠BMW為慶祝M部門在加拿大深耕40週年,正式發表2027年式BMW M4 Coupe M Legacy Edition。這款特仕版全球僅限量40輛,而且只在加拿大販售,等於是獻給當地性能車迷的專屬禮物,美國市場則完全無緣。
NOWnews
「電音天后」謝金燕以高度自律的身材管理聞名,即使年過50歲,依舊維持驚人狀態。她近日在IG分享一段舞台側拍影片,一雙修長美腿再度成為焦點,不只讓大批網友朝聖,連...
自由時報

「套圈圈」是夜市常見的遊戲,最近有民眾在彰化市精誠夜市撞見一攤「套圈圈」大獎當中竟然有「台積電100股」、「黃金」等獎項,拍下PO網後掀起網友暴動,網友驚呼第一次看到夜市套圈圈有大家夢寐以求的台積電100股,「老闆很敢擺」、「決定領錢出來把身家全押了」,不過也有網友認為此純粹是噱頭,99.9%機率不會套中,但也有人說就是幸運兒0.1%的機率隨便丟隨便中。有彰化市民說他前幾天去精誠夜市吃消夜,無意間看到套圈圈遊戲的獎品中,最遠距離的大獎竟然是「台積電100股」,一旁則有「9999三錢」,當下他以為自己眼花看錯,結果定睛一瞧還真的沒錯,直呼沒想到市井小民逛街的夜市也有這種大獎,但「真的有人套到嗎?」照片PO網後引起大批網友熱議,有網友說曾在夜市親眼看過老闆和客人在那邊吵,客人明明有套到,老闆硬凹賴皮, 所以這種遊戲他絕對不玩。不過也有網友驚呼「台積電100股太狂了」,這種行銷手法的確會激起一般人想要拚拚看博大獎的心理。
NOWnews
美國職棒大聯盟(Major League Baseball)官方於(17)日正式宣布,費城費城人隊外野手羅哈斯(Johan Rojas)因違反聯盟禁藥規定,被驗出對表現增強藥物(PED)呈現陽...
聯合報

國際油價今天(17日)開盤後上漲,逆轉周一大跌3%至5%的頹勢,投資人一方面評估中東供應面臨的威脅,另一方面也注意到市場可能有更多原油供應釋出。
經濟日報

國際油價今天(17日)開盤後上漲,逆轉周一大跌3%至5%的頹勢,投資人一方面評估中東供應面臨的威脅,另一方面也注意到市場可能有更多原油供應釋出。
風傳媒

最新出爐的台英年度商務關係調查顯示,政治變數逐漸成為英國企業在台灣進一步擴張的重要考量,從台灣本地的政治不確定性到兩岸關係不佳都是。在受訪的63家在台英國企業中,61%表示在台灣業務佈局受到本地政治不確定性的影響最大,高於新台幣匯率波動的54%,以及美國互惠關稅的49%。其次,73%英國企業表示,兩岸關係不佳並未明顯影響在台營運,「但可能會重新評估任何未來投......
風傳媒

中國突破 AI 封鎖了!TikTok 的中國母公司字節跳動已經突破美國出口限制,取得輝達晶片。根據知情人士透露,字節跳動計劃與東南亞公司 Aolani Cloud 合作,在馬來西亞建設約 500 套輝達 Blackwell 機櫃,並部署 36,000 枚 B200 晶片,預計建置成本超過 25 億美元。這到底是怎麼辦到的?詳情請見全文⋯⋯點擊此處,VVIP獨......
三立新聞

有些早餐看似健康,卻可能踩到「假養生」地雷。營養師邱世昕指出,一名患者為了降低膽固醇,聽從建議早餐選擇燕麥片,每天早上都吃一大碗三合一麥片,沒想到血糖不降反升。原因是市售即食燕麥片經加工碾碎,澱粉吸收速度快,容易導致血糖飆高,對此他分享兩個吃法,有助於穩定血糖、吃得更健康。
鏡週刊

烏克蘭曾傳出一起令人毛骨悚然的意外,25歲的化學系學生在嚼口香糖時,嘴裡竟毫無預警地爆炸。這場突如其來的神祕爆炸力道驚人,瞬間將他的下半臉毀滅,這名年輕人也因此當場喪命。
壹蘋新聞網

【記者林欣恬/綜合報導】兩性戀愛時,通常女性遇到「媽寶男」時往往會選擇敬謝不敏,攸關「媽寶男」是否適合交往,長期以來在兩性話題中備受關注。仲誼集團執行長岳啟儒近日在社群發文表示,許多女性對「媽寶男」抱持負面印象,但實際上「跟媽媽感情好」與「凡事依賴媽媽」是兩回事,判斷是否適合交往的關鍵,在於對方是否具備成熟度與界線感。
ETtoday

高股息ETF績效排名出爐!統計23檔高股息ETF今年以來表現,僅5檔含息報酬率超過7%,其中復華台灣科技優息(00929)以10.3%的還原息總報酬率居冠,且為唯一報酬突破一成的高股息ETF。同時,在近一週與近一月表現上,00929含息報酬也優於大盤及電子類股指數,表現亮眼。
中央社
輝達(NVIDIA)執行長黃仁勳表示,其先進AI晶片至2027年潛在商機至少1兆美元,加上國際油價挫跌,激勵美股收高;台股16日跌57.81點,收在33342.51點。投顧分析,台股醞釀多頭反攻,但市場仍持續留意戰爭、油價、聯準會決策等變數。
經濟日報

油價走升壓低降息預期,債市全面下跌。根據美銀引述EPFR統計顯示,統計自2026年3月6日至3月11日止近一周,投資級債仍保持淨流入、並以70.1億美元居冠;其他包括非投資等級債、新興市場債均轉為淨流出。
聯合報

油價走升壓低降息預期,債市全面下跌。根據美銀引述EPFR統計顯示,統計自2026年3月6日至3月11日止近一周,投資級債仍保持淨流入、並以70.1億美元居冠;其他包括非投資等級債、新興市場債均轉為淨流出。
ETtoday

伊拉克首都巴格達16日晚間驚傳遭到多波突襲!根據《路透社》最新消息,一架自殺式無人機直接擊中美國駐伊拉克大使館附近,現場被目擊竄出陣陣黑煙,巴格達市中心更傳出劇烈爆炸聲響。此外,位於高度戒備「綠區」內的知名飯店也遭無人機轟炸,頂樓嚴重受損。
自由時報

宜蘭縣頭城外海定置漁場14日誤捕的保育類革龜,上岸時體表被網具纏繞,口內纏有流刺網並流血,中華鯨豚協會帶回治療,昨晚從牠的腸胃移除160公分長的網具,不料完成手術後未復原,歷經90分鐘急救不幸死亡。中華鯨豚協會粉專今天(17日)凌晨PO文指出,中華鯨豚協會昨天下午偕同台大動物醫院及台北市立動物園醫療團隊,使用全台最長的3公尺內視鏡,為革龜腸胃道作漁網移除手術,歷經4小時15分鐘,移除160公分革龜食入的網具。
中國時報

軍聞網站「Defence Blog」11日報導,捷克首輛CV9030 MkIV步兵戰鬥車,近日前往瑞典進行實測,藉以驗證這款新銳裝備對極地嚴寒環境的操作能力與適應彈性,以便為全面接裝預作準備,持續增強捷克現代化地面戰力。這輛
ETtoday

2024年世界12強棒球賽中,陳傑憲曾在得分後,以食指與大拇指在胸前畫出一個框狀動作,意思為無法被印上「Taiwan」的位置。相關討論也延伸到其他賽事,有網友在社群平台Threads上分享,近日在WBC賽事中,美國隊與多明尼加交手時,也有球員在得分後做出類似在胸前畫框的動作,並發文表示「美國隊也有看台灣隊長哦」,卻被球迷無情砲轟。
經濟日報

中東戰事與能源供給風險加劇,全球股市震盪。回顧全球股票型基金資金流向,根據EPFR統計顯示,統計自2026年3月6日至3月11日止近一周,美股基金以淨流入13.61億美元居冠、且為唯一淨流入的主要區域基金,其他包括已開發歐洲、亞洲不含日本、拉美及全球新興市場等主要區域股票基金均從淨流入轉為淨流出,顯示資金輪動快速,市場持續消化美伊情勢。
聯合報

中東戰事與能源供給風險加劇,全球股市震盪。回顧全球股票型基金資金流向,根據EPFR統計顯示,統計自2026年3月6日至3月11日止近一周,美股基金以淨流入13.61億美元居冠、且為唯一淨流入的主要區域基金,其他包括已開發歐洲、亞洲不含日本、拉美及全球新興市場等主要區域股票基金均從淨流入轉為淨流出,顯示資金輪動快速,市場持續消化美伊情勢。
三立新聞

阿拉伯聯合大公國(UAE)規模最大的「夏哈氣田(Shah gas field)」驚傳遭到無人機轟炸,大範圍起火燃燒。經阿布達比媒體辦公室16日證實,目前該天然氣田已暫停作業,正在評估因無人機所造成的損失,所幸目前當局已控制住火勢,且未收到人員傷亡的消息。
NOWnews
面對世代價值轉變與人才競爭升溫,企業如何吸引並發展優質人才,成為關鍵課題。信義企業集團因應2030年願景「以企業倫理共創永續好生活,成為世界級服務業」,擁抱新世...
NOWnews
阿拉伯聯合大公國(簡稱阿聯)當地時間週二表示,其防空系統正在應對「來自伊朗的飛彈和無人機」威脅,暫時關閉領空。
壹蘋新聞網

【李威翰/綜合報導】美國老牌男星西恩潘(Sean Penn)勇奪生涯首座奧斯卡男配角獎,不過卻不甩頒獎典禮,引發熱議,外傳他又跑去烏克蘭,總統澤連斯基今天曬照片公開證實。
TVBS

2026 年國際政經局勢持續震盪,美股過去引領風騷的「七巨頭」神話出現裂痕。財經專家阮慕驊於《TVBS 財經》節目中指出,隨微軟、輝達等權值股走弱,全球主權基金與大型退休基金正將資金從高估值的巨頭中撤出,轉而流向具備資金活水的台、日、韓半導體族群。阮慕驊分析,此波資金回流不僅支撐了台股動能,更預示了今年硬體優於軟體的投資主軸,投資人應跳脫傳統思維,布局有實質資金流入的亞洲科技版塊。
經濟日報
經濟日報每日提供除產業、股市、金融、國際、彭博及專欄等即時財經新聞,並針對重要議題製作去碎片、有脈絡的深度內容,提供解讀、分析、整理、精選專題、專家觀點等,幫助讀者擺脫資訊碎片化的困擾。
聯合報

「2026 Eid-al-Fitr in Taipei同慶開齋再聚台北」22日大安森林公園登場,北市觀光傳播局今年再與多家清真餐廳、手作工坊合作推「清真特約店家集點」活動,即日起至31日到特約店家消費、完成集點任務,即可獲限量「金屬書籤」,活動當日至服務台還能兌換限量清真市集50元折價券。
自由時報

正值清明掃墓旺季,台中12日起清水、沙鹿、龍井公墓陸續傳出雜草火警案件,濃煙密布,造成海線鐵路班次誤點及國道三號用路人視線。立委何欣純指出,台中接連爆發非洲豬瘟、禽流感、廚餘、垃圾太空包及火燒山事件,顯示盧市府治理的螺絲鬆動、問題接連浮現,不僅讓台中市民的生命財產安全受到威脅,也讓外界對台中的城市形象大打折扣。何欣純指出,火燒山在消防弟兄迅速出動下,火勢已逐漸獲得控制,但近年台中火燒山已成為常態,不能每年都讓辛苦的消防弟兄疲於奔命,因此主張從預防、巡查與應變能力三面向加強,包括在高風險季節加強山區巡查、完善預警機制,同時提升消防與救災量能,當消防弟兄最強的後盾。
聯合報

中科院「鷹隼專案」研發國造AESA雷達,測試機日前被目擊掛天劍2型測試彈升空實施高空測試。
TVBS

在今年的 NVIDIA GTC 大會上,執行長黃仁勳背後那張佈滿企業標誌的投影幕,也是全場吸睛焦點。這不僅是一張贊助名單,不少台股投資人也都會關心今年黃仁勳GTC的「背板股」有哪些,認為可從中找尋投資靈感。
NOWnews
2026年世界棒球經典賽(2026 World Baseball Classic)四強準決賽進入最高潮,緊接著美國隊爭議性擊敗多明尼加後,另一場由南美強權委內瑞拉對陣本屆最大黑馬義大利的...
經濟日報
美伊戰情持續攪動國際股市,加上本周美中兩國在巴黎展開貿易談話,被外界視為即將於近期舉辦的「川習會」鋪路。在地緣政治影響下,市場面臨多重不確定性,投資人避險情緒湧現,急於找尋資金停泊的避風港來躲避風險。
聯合報
美伊戰情持續攪動國際股市,加上本周美中兩國在巴黎展開貿易談話,被外界視為即將於近期舉辦的「川習會」鋪路。在地緣政治影響下,市場面臨多重不確定性,投資人避險情緒湧現,急於找尋資金停泊的避風港來躲避風險。
自由時報

少子化衝擊私校招生與經營,私立學校退場與教育資源整合持續出現新模式。本報記者獨家掌握,位於台南市官田、創校約64年的私立陽明工商,規劃自115學年度(今年8月)起停止招生,並擬在學生全部畢業、學校法人解散後,將校產捐贈給同在官田的國立台南藝術大學,如相關程序完成,將成為全國首例高中職校產捐贈公立大學,凸顯少子化下教育體系重整的新趨勢。教育部今(17)日證實,教育部國教署組長葉信村說明,根據教育部統計處114學年度(目前為114學年第2學期)資料,陽明工商目前有家具木工科、水電技術科及資料處理科,共有100名學生,其中一年級32人、二年級28人、三年級40人;專任教師及職員共20人,在未來停招之後,教育部將依相關規定協助學生完成學業,並確保教職員權益。
經濟日報

阿拉伯聯合大公國國家通訊社(WAM)報導,阿聯民航總局(General Civil Aviation Authority,GCAA)17日宣布,因應伊朗發動的新一波飛彈與無人機攻擊,為確保航班與機組人員安全,並維護阿聯領土安全,將以「特殊預防措施」為由,暫時全面關閉全國領空。
聯合報

阿拉伯聯合大公國國家通訊社(WAM)報導,阿聯民航總局(General Civil Aviation Authority,GCAA)17日宣布,因應伊朗發動的新一波飛彈與無人機攻擊,為確保航班與機組人員安全,並維護阿聯領土安全,將以「特殊預防措施」為由,暫時全面關閉全國領空。
中國時報

自己煮菜可慎選食材,但洗菜超麻煩。無毒教母譚敦慈推薦可吃菇類,菇類培育過程無菌,可以不用清洗直接下鍋,若很擔心可以稍微過水沖一下,記得要再瀝乾,否則菇類含水過多會讓口感差,她最愛的菇是富含胺基酸的金針
三立新聞

近日一名媽媽在社群平台透露,帶孩子逛好市多時,因為孩子肚子餓一直吵,因此她打開購物車內的麵包讓孩子先吃,遭到好市多職員提醒「應該先結帳」,讓她直呼台灣育兒環境不友善。一篇貼文引起撻伐,有人痛斥「沒結帳就開封那叫偷竊」。對此,律師也說話了!
經濟日報

輝達(Nvidia)執行長黃仁勳周一(16日)在美國加州聖荷西舉行的GTC開發者大會主題演講中,闡述AI產業進入新階段的發展方向,並公布公司在推論晶片、AI代理與企業平台等領域的最新布局。以下為演講內容的五大重點:
聯合報

輝達(Nvidia)執行長黃仁勳周一(16日)在美國加州聖荷西舉行的GTC開發者大會主題演講中,闡述AI產業進入新階段的發展方向,並公布公司在推論晶片、AI代理與企業平台等領域的最新布局。以下為演講內容的五大重點:
中國時報
三商家購(2945)旗下品牌美廉社參與「2026台北春季國際連鎖加盟大展」,推出展場限定「0元加盟金」優惠及全新升級的「分潤+」加盟專案,三商家購表示,目標逐步將加盟占比提升至50%。隨著創業風潮升溫,具備低成本投
經濟日報
野村高科技基金及野村e科技基金經理人謝文雄表示,全球AI重磅技術盛會 - 輝達GTC大會3月16–19日,預期釋出新平台、電力架構與網路互連等脈絡,並有望對中期需求與生態系投資方向給出更清晰指引;台系電源、散熱、機構件與網通等關鍵零組件廠也將齊聚一堂,法人普遍預期今年營運呈現逐季走升的型態,強化台灣AI供應鏈景氣循環的延續性。
風傳媒

台灣美國關係向來是我國對外關係重中之重,歷任外交部長多半曾有派駐美國經驗,上任後也必須打理好對美國關係。雖為「非典型外交部長」,但台美關係自然也備受現任外交部長林佳龍重視,上任1年9個多月以來,不僅至少4度出訪並多次過境美國,更頻繁與美國實質駐台代表、美國在台協會(AIT)台北辦事處長谷立言(Raymond Greene)會面,近期倆人也一同共進「魔法團圓飯......
ETtoday

美國與伊朗戰事進入第3周之際,多名海灣地區消息人士透露,雖然波斯灣阿拉伯國家並未要求美國對伊朗開戰,但現在不少國家正敦促華府不要過早停手,以免讓伊朗仍保有威脅區域能源命脈的能力。
聯合報
野村高科技基金及野村e科技基金經理人謝文雄表示,全球AI重磅技術盛會 - 輝達GTC大會3月16–19日,預期釋出新平台、電力架構與網路互連等脈絡,並有望對中期需求與生態系投資方向給出更清晰指引;台系電源、散熱、機構件與網通等關鍵零組件廠也將齊聚一堂,法人普遍預期今年營運呈現逐季走升的型態,強化台灣AI供應鏈景氣循環的延續性。
壹蘋新聞網

【黃詩淳/綜合報導】民眾黨主席黃國昌16日開通Threads帳號,首篇貼文一發,就吸引不少網友朝聖留言,民眾黨Threads官方小編也回應「這加入的速度,老師你是超慢速仔吧」。
壹蘋新聞網

【趙虎威/綜合外電】美國總統川普今天在白宮發表談話,重申伊朗軍事能力已被「徹底摧毀」,同時宣揚美國與以色列在這場軍事行動取得成功,並再次呼籲各國協助維護荷莫茲海峽安全。英國閣員則表示,英美維持「良好且密切」的關係,「但不意味著我們必須無條件支持美國的每項行動。」
ETtoday

近期收藏圈傳出,去年4月,在香港蘇富比春拍拍賣會上,以港幣2.5億元、折合新台幣10.2億元成交的《草書韓愈柳宗元文》,不僅是遺失百年的墨寶再現市場,還寫下了蘇富比歷來最高價的中國書法作品以及競價過程最長的雙新紀錄。據調查,買下這幅巨作的台灣林姓收藏家,就是廣達集團董事長林百里。
NOWnews
網紅篠崎泫日前才傳出與正在服刑的Toyz(劉偉健)登記結婚,感情動向備受關注,未料她過年期間對外聲稱「日本獨旅」,如今卻被爆出實際行程另有內情,不僅住宿地點與公...
ETtoday

把握好天氣!氣象專家賈新興表示,周四日至周六微弱鋒面及東北風影響,水氣比較多。
Newtalk

輝達今天推出專為代理型AI(Agentic AI)打造的Vera CPU及Vera CPU機架系統;攜手華碩、仁寶、鴻海、技嘉、和碩、雲達、緯創和緯穎等台廠合作;同時發布BlueField-4 STX儲存架構,AIC營邦、雲達為合作夥伴。輝達(NVIDIA)執行長黃仁勳今天在聖荷西舉辦的GTC大會上
ETtoday

知名卡牌遊戲《遊戲王》近日推出全新設計「超框卡」,18種限量百張編號的稀有版卡片,成為這次主角篇卡包最具收藏價值的夢幻逸品。幾天前,馬來西亞才有玩家用剪刀開包,意外剪壞限量神卡。如今台灣玩家也開紅,由知名遊戲網紅「帥狗」開出限量51號的超框板黑魔導,市價上看新台幣130萬元。
TVBS

美國空襲伊朗,導致荷莫茲海峽(Strait of Hormuz)封鎖,全球石油價格飆漲,總統川普苦惱求救7國。沒想到,川普再發狠了,撂重話要「接管古巴」,信心直喊:「我可以隨心所欲地處置它。」
Newtalk

輝達執行長黃仁勳今天在GTC大會揭曉整合Groq語言處理單元技術的新晶片NVIDIA Groq 3 LPU,他還說,次世代GPU架構Feynman,將整合下一代名為Rosa的CPU以及新一代LPU,共建更強大平台系統。人工智慧(AI)晶片巨擘輝達(NVIDIA)執行長黃仁勳身穿招牌黑皮衣亮相GTC大
NOWnews
年底將舉行地方大選,國民黨確定提名前台北市副市長李四川出戰新北市,對決民進黨立委蘇巧慧,但藍營是否和也有意參選的民眾黨主席黃國昌整合,備受外界關注。《鏡週刊...
三立新聞

為出國旅行與洽談公務方便,同時能確保隱私,在新冠疫情期間,廣達集團董事長林百里就出手以逾新台幣20億元的價格訂購私人飛機—龐巴迪環球7500,這款飛機更被譽為私人飛機界的勞斯萊斯,而鍾情於這款飛機的台灣富豪還有富邦集團董事長蔡明忠、中租集團總裁辜仲立、國巨董事長陳泰銘以及遠東集團董事長徐旭東等重量級大佬。
經濟日報

中東戰事引爆,3月來台股拉回超過2,000點,截至16日下跌2,071點,收33,342點,月線未能收復,不過,仍有超過2,000億元、高達2,228億元資金買盤無畏中東戰火,積極透過ETF卡位台股中長期成長契機,包含元大台灣50(0050)、群益台灣精選高息(00919)、凱基台灣TOP 50(009816)等ETF。
聯合報

中東戰事引爆,3月來台股拉回超過2,000點,截至16日下跌2,071點,收33,342點,月線未能收復,不過,仍有超過2,000億元、高達2,228億元資金買盤無畏中東戰火,積極透過ETF卡位台股中長期成長契機,包含元大台灣50(0050)、群益台灣精選高息(00919)、凱基台灣TOP 50(009816)等ETF。
三立新聞

網紅「詹姆士(呈)」為賺取流量,到知名連鎖量販超市、賣場,打開食品、飲料喝完後又放回貨架上,並將影片PO網引發爭議。事後,涉案網紅跟攝影師被依法移送,一審認罪並賠償20萬達成調解;但檢方認為量刑過輕並提起上訴;並查出網紅曾犯詐欺罪,二審撤銷緩刑,改判8個月有期徒刑,全案定讞。
三立新聞

民眾黨中配立委李貞秀16日在立法院首度質詢,她原想對決內政部長劉世芳,但內政委員會召委李柏毅裁示「行政官員可以不必詢答」,李貞秀只好唱獨腳戲,不過民眾黨團主任陳智菡竟2度上台咬耳朵救援。民進黨新北市議員卓冠廷說,他真的被嚇傻,陳智菡哪來的勇氣覺得自己夠格?
TVBS

阿拉伯聯合大公國民航總局宣布,為因應伊朗發動新一波飛彈與無人機攻擊,全面暫時關閉該國領空。官方表示,此舉為「特殊預防措施」,旨在確保航班與機組人員安全,同時捍衛國土。同時,沙烏地阿拉伯與阿聯外長也通話,共同商討區域安全對策。
壹蘋新聞網

【記者林欣恬/綜合報導】由交通部觀光署與嘉義縣政府共同主辦的2026台灣燈會已於15日晚間正式閉幕。本屆燈會以「光躍台灣‧點亮嘉義」為主題,為期13天活動累計吸引約1360萬人次參觀,創造約316億元經濟產值。不過,燈會中的無人機展演近日卻引發疑似「參考創作者作品」的爭議,原作者「魚酥寫字」昨(16)日透過社群平台發文表示,也是經由友人告知,才發現嘉義燈會無人機表演上的字,與他所寫的「我那小小多山的國家」真的很像。
聯合報
道奇隊本季開幕戰先發投手,沒有其他人選,就是去年世界大賽MVP山本由伸,總教練羅伯茲(Dave Roberts)今天正式公布這項消息,這將是山本連續兩年扛下開幕戰先發,也是他第一次從主場開幕戰展開賽季。
中國時報

台北捷運是通勤族不可或缺的交通工具,不少人好奇北捷為何不提供24小時服務,北捷指出,每天末班車抵達終點後,所有列車都必須返回機廠保養,當時已凌晨1點半,而在清晨5點之前,第一線工作人員還要完成軌道清潔、巡
自由時報

南韓總統府青瓦台16日表示,總統李在明和第一夫人金惠景15日出席在慶尚南道昌原市舉行的「三一五義舉」66周年紀念儀式時,首度搭乘了新啟用的總統專機「新型空軍二號」。《韓聯社》報導,李在明在登機前聽取了總統警衛處針對新專機的詳細報告,並與工作人員合影留念。
工商時報

利多因子速覽 SRAM前所未有重要 點燃矽智財大商機 2台廠成最大受惠者 台美記憶體大連線 美光財報揭曉前 法人同步敲碗3台鏈 黃仁勳:輝達Blackwell、Rubin晶片 2027商機高達1兆美元 台股月線攻防戰開打 台積棄息賣壓扯後腿 依據經驗外資今天會買? 國發會:今年景氣估續亮紅燈 富邦...
聯合報

新北市中和區42歲邱男昨午5時許陪小孩在住家旁巷口玩耍時,小孩因突然衝到路中險些被26歲黎姓騎士撞上,黎男緊急煞車並爆粗口。邱男聞言不滿持水彈槍上前與黎男發生口角。中和警獲報到場喝令邱男蹲下並查扣水彈槍,詢後依社維法裁罰。
經濟日報

美以聯軍自2月底空襲伊朗以來,衝突已延續超過半個月,在戰火尚未平息、國際油價的劇烈波動更牽動全球主要股市表現,3月以來主要股市全數走低。然儘管地緣政治不確定性籠罩,但在全球經濟展現韌性,各區域仍持續有產業需求增長與利多政策持續發酵中,不少投資人選擇於當前市況震盪之際危機入市,透過海外股票ETF卡位後市行情。
聯合報

美以聯軍自2月底空襲伊朗以來,衝突已延續超過半個月,在戰火尚未平息、國際油價的劇烈波動更牽動全球主要股市表現,3月以來主要股市全數走低。然儘管地緣政治不確定性籠罩,但在全球經濟展現韌性,各區域仍持續有產業需求增長與利多政策持續發酵中,不少投資人選擇於當前市況震盪之際危機入市,透過海外股票ETF卡位後市行情。
聯合報

新北市21歲王男前天中午12時開車行經中和區時,疑因邊開車邊吸毒精神恍惚,險些撞上路邊餐廳招牌及分隔島,接著又擦撞行經的計程車。警方到場實施快篩發現王男毒駕,還查獲依托咪酯煙彈。詢後依毒品、公危送辦,並依道交法裁罰及扣車。