TVBS
快訊/彰化死亡悲劇!翁墜八堡圳載浮載沉 撈起成冰冷遺體

彰化縣二水鄉今(7)日上午發生一起溺水意外,一名78歲老翁不明原因跌落知名八堡圳,彰化縣消防局獲報,緊急出動大批分隊前往救援,眾人約半小時後於灌溉渠道尋獲載浮載沉的老翁,無奈他已無生命跡象,給予初步救治後,緊急送往醫院急救,無奈最終仍回天乏術,詳細案情待進一步釐清,並報請彰化地檢署相驗死因。
這是第 1 頁,共 859 頁
TVBS

彰化縣二水鄉今(7)日上午發生一起溺水意外,一名78歲老翁不明原因跌落知名八堡圳,彰化縣消防局獲報,緊急出動大批分隊前往救援,眾人約半小時後於灌溉渠道尋獲載浮載沉的老翁,無奈他已無生命跡象,給予初步救治後,緊急送往醫院急救,無奈最終仍回天乏術,詳細案情待進一步釐清,並報請彰化地檢署相驗死因。
聯合報

近日有中國大陸網友在社群媒體上表示,自己在上海乘坐中國國際航空(國航)航班時,登機前需進行現場測量體重。網友附上的航空公司的簡訊指出,依據中國民航局要求,航空公司需定期採集旅客體重樣本,以便更新旅客體重標準。簡訊中強調,本次測量數據將不記名且保密,僅作為航空公司調整標準的依據。
NOWnews
「2026北港燈會・潮光潮」將於2月14日至3月8日盛大登場,雲林縣政府6日特別北上台北瓶蓋工廠舉辦宣傳記者會,由縣長張麗善率領縣府團隊、策展人與旅外雲林鄉親共同揭幕...
聯合報

台中市北區太原路一段今下午2點多傳出有人墜樓,轄區第二分局警方獲報到場,確認為65歲李姓婦人,因當時自4樓掉落已明顯死亡...
自由時報

台中市東區進化路與精武路口6日下午一起自撞翻車事故,一輛轎車行經路口時疑似駕駛恍神,車輛越開越偏,突然失控衝向中央分隔島,猛烈撞擊後整輛車旋轉約180度翻覆在路中央,畫面相當驚險,事故影像曝光後,也引發不少網友留言調侃:「這裡不能停車」、「直接曬肚皮」、「開到一半翻過去是怎樣」。經查,事故發生在6日下午,60歲張姓男子當時駕駛轎車,沿進化路中間車道往進化北路方向行駛,行經事發路口時不明原因突然左偏,接著只見轎車自撞中央分隔島,導致車輛當場翻覆四輪朝天,所幸張男僅手部擦挫傷,意識清楚,未送醫治療。
聯合報

法國金融犯罪檢察官辦公室今天告訴法新社,在性犯罪富豪艾普斯坦案相關文件揭露新事證後,他們已對深具影響力的前文化部長賈克朗...
NOWnews
近期正值尾牙、農曆春節聚餐旺季,親朋好友相聚酒酣耳熱,難免有人不勝酒力喝掛斷片。許多民眾見朋友醉倒,幫忙扶上床休息,卻往往忽略一個致命細節。消防員經營的「消...
NOWnews
韓流天王G-DRAGON(綽號:GD、本名:權志龍)愛在社群「海巡」按讚已不是話題,先前更因一度按讚前女友、BLACKPINK成員Jennie在金唱片的表演影片又火速收回,被虧是「...
經濟日報

大陸國家外匯管理局7日公布的數據顯示,截至2026年1月末,外匯存底規模為3兆3991億美元,較2025年12月末上升4...
三立新聞

即將過年,參拜不僅能安定人心,也是祈求新的一年能順心,但許多習俗細節卻容易被忽略。知名命理專家艾菲爾老師特別分享「拜拜6大宜忌」,當中也指出有4種水果不要當作供拜品。提醒民眾,在向神佛訴說心願後,除了等待奇蹟,更要加把勁實踐目標。
壹蘋新聞網

【記者張家玲/台北報導】每周新錶時刻到!路易威登(LOUIS VUITTON)與獨立製錶廠De Bethune共同寫下合作新章,正式發表LVDB-03 Louis Varius聯名系列。這場由LV鐘錶部門總監Jean Arnault與製錶大師Denis Flageollet攜手促成的奇蹟,源自於兩人對法國製錶黃金年代的共同熱情。
經濟日報
法國金融犯罪檢察官辦公室今天告訴法新社,在性犯罪富豪艾普斯坦案相關文件揭露新事證後,他們已對深具影響力的前文化部長賈克朗...
自由時報

農曆春節將至,嘉義縣新港鄉公所2月7日、8日在23村設置發放所,普發鄉民每人「振興經濟金」3000元,公所並準備象徵吉祥平安的祈福紅包,印製聚寶盆、貔貅、駿馬等圖騰,讓鄉親領取現金也能感到充滿年味、喜氣的新年祝福。新港鄉長葉孟龍今天一早到各發放所視察振興經濟金發放情形,並慰勞工作人員、員警辛勞。
中央社
美國「華爾街日報」今天引述消息人士披露,馬斯克(Elon Musk)旗下的太空探索科技公司(SpaceX)告訴投資人,該公司將優先專注於登月任務,火星計畫將會推遲。
聯合報

愛馬仕(Hermès)2026年度主題定調為「心之所航」(l'appel du large),充滿詩意的概念源自一段動人...
TVBS

新北市長選戰,要拚「藍白合」,但國民黨呼聲最高的台北市副市長李四川尚未正式投入選戰,似乎也讓國民黨新北議員暫不表態,也不與民眾黨參選人黃國昌同框,民眾黨回應,不分黨派,會爭取成為新北的最大公約數。
聯合報

許多民眾打算過完農曆年就換工作,勞發署雲嘉南分署永康就業中心今天在善化舉辦現場徵才活動,緯穎智造、台灣穗高科技、愛爾斯半...
經濟日報

日山考量台灣的電器規格及使用環境,在台灣主推8K及12K單相多功能儲能機。林宇傑表示,固德威家儲的效益不只是尖離峰電價差,同時合法運用太陽光電併網售電。能源署要求7月起所有家儲須強制認證,日山預定今年3月取得認證,再次領跑業界。
聯合報

行政院提出1.25兆元軍購特別條例草案,除了民眾黨自提版本,國民黨也有自己版本。對此,民進黨立委吳思瑤上午受訪指出,民眾...
經濟日報

南臺科技大學「藏碳蘊風」國科會科普計畫團隊 7 日在臺南市永康區東橋里小橋公園主辦「風狂拾光—綠電草地音樂會暨科普活動」,在社區公園中打造一場寓教於樂、貼近生活的永續行動實踐,吸引社區民眾與親子家庭參與。
聯合報

印度與美國今天公布臨時貿易協議框架,印度將取消或降低美國工業、農業產品關稅,美國則將對等關稅降到18%,並取消部分產品關...
三立新聞

花蓮自強外役監一名受刑人康育豪,於2022年3月間返家探視,竟趁機落跑,逃脫期間,還涉入博弈糾紛,持刀砍傷一名郭姓男子,雖然2名同夥落網,但康育豪卻逃出境外。逃亡4年後,本月5日下午,康育豪悄悄從中國搭機返台,入境時被發現身揹4條通緝,遭移民署當場攔查,之後由警方確認身分,於6日移送桃園地檢署,目前已發送桃園監獄執行。
TVBS

國民黨台中初選越戰越兇,繼前一天黨中央和楊瓊瓔發文,說會在三月底做內參全民調,讓立法院副院長江啟臣認為被偷襲後,今早江啟臣更撂下重話,呼籲黨中央按照雙方簽署的「白紙黑字」進行,更直呼這段時間做民調根本沒有共識,對此楊瓊瓔回應,兩人姊弟互動還是很好,現在最重要的就是團結。
自由時報

迎接馬年,「嘉義市年貨大街」正在文化路中央廣場熱鬧登場,現場匯集61個攤位,還有7家店家聯手故宮推出聯名禮盒,活動期間還有「好禮五重送」,超過1萬個獎項等你來拿。市長黃敏惠今日出席開幕記者會,與主廚一起烹煮一道XO醬龍虎斑,為活動揭開序幕,吸引不少民眾到場採買,黃敏惠歡迎大家來「嘉」採買年貨,把澎湃實惠年貨帶回家。
TVBS

台中市北區今(7)日下午14時27分發生一起死亡憾事,一名65歲婦人不明原因從自家4樓墜落,由於撞擊力道強烈,該名婦人倒臥防火巷已無生命跡象,婦人丈夫見狀,嚇得立即通報警消求助,台中市消防局火速派遣文昌分隊、博館高級救護隊出動,無奈婦人已明顯死亡,後續未送醫,交由轄區第二分局接手調查,詳細案情待進一步釐清,並報請台中地檢署相驗死因。
TVBS

Netflix節目《黑白大廚》中出現的「紅蘿蔔地獄」關卡,主廚們每30分鐘端出一道紅蘿蔔料理,讓觀眾看得熱血沸騰。不過,為什麼是紅蘿蔔?醫師劉博仁在臉書粉專「劉博仁營養功能醫學專家」指出,這食材在功能醫學眼中,絕非配菜,而是守護免疫系統的「營養庫」,更點出紅蘿蔔若「生吃」其實相當可惜,吸收率與熟食相比竟差了12倍之多!
TVBS

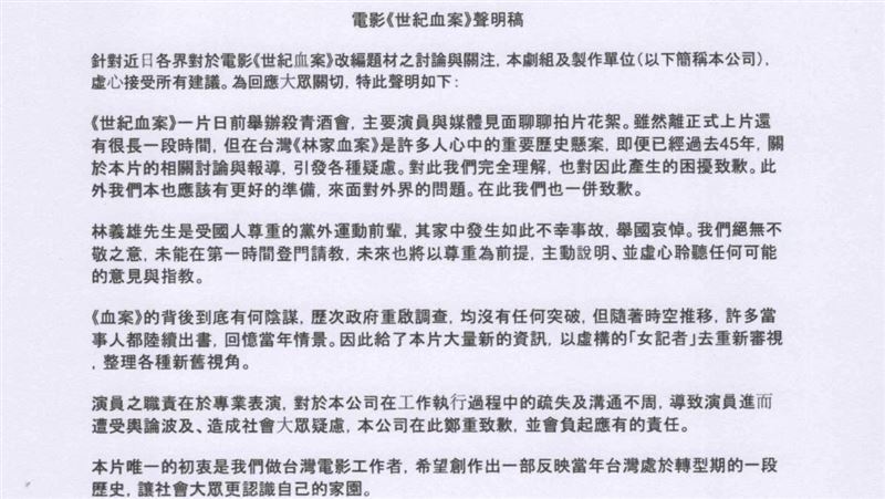
改編自「林宅血案」的電影《世紀血案》,自殺青記者會後因授權爭議、演員失言遭到全民抵制,包括李千娜、簡嫚書、楊小黎三位主演更是深夜發文切割並致歉。對此,神隱多日的製作單位「費思兔文化娛樂股份有限公司」於今(7)日正式發布聲明,針對未第一時間請教當事人及造成演員困擾,鄭重向林義雄先生及社會大眾致歉。
自由時報

民眾黨本週進行新北市議員初選,被視為黨主席黃國昌子弟兵的周曉芸輸給對手陳彥廷,周曉芸為此提出申覆。對此,媒體人吳靜怡表示,黃國昌的「咒術迴力」,金釵敗北,賴清德笑納民調紅利?柯文哲如果2026選戰前不調整,繼續和黃前立委一起口水戰,泡沫化不是會不會,而是提早開始,咒術玩過頭,傷的是自己人。吳靜怡在臉書PO文表示,民眾黨爆發初選驚奇,黃國昌的親信周曉芸,被民眾黨封為「三重金釵」,她不只空降三重蘆洲區,還直接和黃國昌掛看板拉票,氣勢洶洶,還造成長期經營三重的前發言人李有宜因此退黨,以為這是黃國昌在新北市長選戰的布局第一步,沒想到在2月4日至5日的初選民調中,她居然以些微差距輸給一個曝光度極低、被網友戲稱「路人甲」的陳彥廷,黃國昌在新北「首戰即終戰」的起手式,暴露了黨內基層對空降人馬的不滿、新北人不喜歡黃國昌,黃國昌的光環,顯然不是助力而是負擔。
聯合報

大陸國家外匯管理局7日公布的數據顯示,截至2026年1月末,外匯存底規模為3兆3991億美元,較2025年12月末上升4...
三立新聞

國片《世紀血案》取材自1980年震驚全台、至今仍未偵破的「林宅血案」,事件涉及前立委林義雄一家,卻傳出未取得當事人及家屬的同意,在網上引起抵聲浪。對此製作單位也發表聲明。記者林汝珊
三立新聞

台南一對弱勢家庭姊弟於上月底,拿著NET提供的4000元禮券,前往永康店替自己添過年新衣卻不小心將禮券遺失,讓姊弟相當懊惱傷心。本月4日警方受理報案,調閱監視器發現,拾獲者是61歲阿嬤及一對小姊弟,半小時後禮券花到只剩400元,3人到案說明後,依侵佔罪將阿嬤送辦。
TVBS

日本大分縣法院日前審理一起案件,一名現年21歲女子(A女)被指控縱火罪名,沒想到意外牽涉出一樁婚外情。A女在15歲當年愛上同學的父親,雙方開啟長達6年的不倫戀,她坦承不滿感情破局、覺得自己被拋棄,才憤而向對方住所縱火。
自由時報

1980年震撼全國的「林宅血案」被改編成電影《世紀血案》引外界矚目。對此,旅美教授陳時奮(筆名翁達瑞)質疑「電影可能竄改歷史嗎?」,並指出關鍵人物是汪敬煦,他在美麗島事件、林宅血案、與陳文成命案發生時擔任警備總部司令,而汪敬煦就是電影《世紀血案》的主角。翁達瑞今日於臉書發文指出,電影《世紀血案》以發生在46年前的「林宅血案」為背景,由戒嚴時期的電視小生寇世勳擔綱,飾演當年蔣家政權的情報頭子汪敬煦。電影才剛殺青,劇情尚未可知。根據直覺判斷,這應是一部試圖竄改歷史的電影。如果這個判斷正確,他接著要問的是:這部電影可能竄改歷史嗎?
聯合報

桃園市龍潭警分局表示,農曆春節連假長達9天,為維護交通順暢,已盤點分析轄區往年交通繁忙路段,邀集高公局北區養護工程分局、...
聯合報

日本連鎖超市樂比亞(LOPIA)以高CP值的生鮮肉品爆紅,總經理水元仁志在Threads透露,新竹是最想插旗的區域,但受...
TVBS

寒流強襲,2月7日起受寒流影響,各地氣溫驟降,北市政府衛生局提醒,低溫會導致血液濃稠度增加、血壓不穩,「清晨5至6時」以及「晚上8至9時」是血管最容易因低溫收縮、導致血壓劇烈變化的時段,特別是三高患者與長者務必掌握保暖關鍵。
TVBS

中國廣東一名上班族近日參加公司年會(類似台灣的尾牙)時,抽中要價近萬元人民幣的iPhone 17 Pro Max手機,原以為幸運抱回大獎,沒想到回家拆封後竟發現盒內只是兩塊磁磚,讓他當場傻眼,氣得直呼被欺騙。
聯合報

日本眾議院選舉明天投開票,民調顯示執政陣營情勢大好,不僅自民黨有機會單獨過半,與維新會合計更上看300席。不過自民黨不因...
NOWnews
以台灣民主史上「林家血案」為背景的電影《世紀血案》,日前才宣告殺青,未料拍攝前未取得林義雄與家屬同意,此外導演祖父為過去就是警總發言人,加上演員受訪時脫口稱...
Newtalk

(中央社記者黎建忠台北7日電)在中國青島舉行的亞洲羽球團體錦標賽,台灣女團今天4強賽面對地主中國,前3點邱品蒨、許雅晴與宋祐媗、林湘緹都吞敗,最終以0比3止步4強,仍創賽史最佳成績。亞洲羽球團體錦標賽從1996年開辦,每2年舉辦一次,男子、女子團體分開舉辦,台灣過去不論男、女團都未曾闖過8強門檻,但
NOWnews
文/李亦伸
自由時報

國民黨副主席蕭旭岑昨嗆美國在台協會(AIT)處長谷立言「只比科長大一點」,引發撻伐。谷立言近來多次造訪台中,台中市長盧秀燕今日回應,「台美關係從來不是小事」;立委江啟臣今日更直接稱,谷立言依照國務院相關層級來說屬於大使層級,對照軍方層級為中將等級。對此,有網友疑惑:「藍營精神分裂了嗎?」還有不少網友笑稱:「綠啟臣」、「江啟臣背後發出綠光」。盧秀燕今日受訪,被問及蕭旭岑「科長說」時表示,台美關係從來都不是小事,尤其美中台三角關係,關係到台灣的安全、兩岸的和平,「我們要更加重視,要不斷的爭取國際間的支持」;江啟臣今日更受訪表示,谷立言層級依國務院是大使,軍方是中將,不論是派駐到到台灣當代表、到中華民國擔任大使,就代是表他的國家,外交要相互尊重。一番說詞等同打臉蕭旭岑。
ETtoday

時代力量黨主席王婉諭近日在社群平台發文,針對電影《世紀血案》引發的爭議發表看法。她指出,當年林義雄與陳文成發生的悲劇,絕非單純意外,有常識的人都知道凶手是誰。所以對於演員的反應,她覺得非常震驚,而這部片既然沒有得到當事人或家屬的同意,就不該上映。
壹蘋新聞網

【記者黃閔/台北報導】改編自真實事件「林宅血案」的電影《世紀血案》傳出未取得當事人及家屬同意,引發撻伐聲浪,爭議持續延燒。《世紀血案》劇組及製作單位稍早也發聲明回應了。
NOWnews
北市府交通局表示,依據中央氣象署預估最冷時間點落於今(7)日至9日清晨,因應陽明山地區可能下雪,為確保行車安全,防止交通事故發生,將依中央氣象署宣布下雪時同時...
自由時報

日本政壇向來盛行「料亭政治」,政商大老習慣在高級餐廳喝酒喬事,但首位女首相高市早苗上任後卻反其道而行。《美聯社》披露,她就任首月幾乎沒有任何晚宴應酬,而是把時間全花在官邸與辦公室處理政務。這種「零應酬」作風,徹底打破了自民黨長年以來的政治潛規則,展現出這位女首相與眾不同的鐵血紀律。曾被媽媽「呼巴掌」訓斥 練就鋼鐵意志
NOWnews
翻拍自台灣白色恐怖時期重大命案「林宅血案」的電影《世紀血案》,因主辦方未向事件受害者林義雄家屬等人同意就開拍,加上演員李千娜、楊小黎等人殺青記者會時,在鏡頭...
聯合報

台9線南迴公路香蘭至金崙路段,今天上午發生1輛自小客車失控撞上橋墩,騰空數公尺高,並多次翻滾後掉落20公尺深山谷,40歲...
ETtoday

耗資6.4億元公帑興建的台中市清水國民暨兒童運動中心,啟用僅短短四個月,卻遭踢爆場館出租作為大型家具、名床特賣會使用,引發外界高度爭議。市議員王立任痛批,原本應提供海線居民運動休閒的專業場館,如今卻擺滿床墊與沙發,形同「運動場變家具店」,嚴重背離興建初衷,也讓地方民眾無法接受。
中央社
亞洲盃桌球賽今天在中國海口進行男、女組16強淘汰賽,台灣19歲新秀張佑安,以11比9、11比6、11比9擊退香港名將黃鎮廷,成為台灣唯一晉級8強的好手。
自由時報

偏遠山區藏賭場!新北市林口區菁埔是位在山區的偏遠小聚落,但近期卻出入複雜,警方細查,果然有賭場藏匿於此。前日,警方派員查緝,搗破這處天九牌賭場,帶回負責人、賭客等近20人,扣回贓款、證物,將一干人等依法送辦。據悉,菁埔聚落位在山區,地理位置非常偏遠,平常人車亦非常少。有附近住戶發現,最近怎常看到非本地人出沒,時間點還都在深夜,警方掌握相關情資,於是展開蒐證。
三立新聞

總統賴清德今(7)日在民進黨南投縣長參選人温世政陪同下,前往南投市軍功里福順宮參香。他喊話,來到軍功里參拜就是要向國軍致敬,也希望全國人民支持國軍、守護國家,支持國防特別預算,更直言,有的人可以去別的地方生存,「但我們就是只有台灣這塊番薯而已」。
三立新聞

三立集團尾牙規模更勝以往,席開逾150桌,除了大咖歌手,董事長張榮華霸氣再加碼發出破億年終獎金、尾牙大樂透,更一人獨得88萬。
自由時報

海線民眾期盼已久的清水國民暨兒童運動中心,於去年9月30日啟用,2月6日至9日竟將專業運動場館外租舉辦大型「家具名床大展」,民眾質疑市府讓標榜專業的運動空間淪為家具賣場,是對海線鄉親的莫大諷刺,運動局長游志祥表示,這屬於「嚴重違規」,已開罰外包廠家,並要求今(7)日全部撤展,否則將予以連續處罰。游志祥指出,清水國民暨兒童運動中心同時設有商場,但有和外包廠家訂約要求只能販售與運動有關的用品,已第一時間通知廠家嚴重違規,要求立即撤展外,並將依約開罰,若無法完成撤除,將給予連續罰處分,至全部撤除為止。
ETtoday

嘉義縣中埔鄉今(7)日清晨發生一起死亡車禍,78歲吳姓老翁騎乘機車行經市區道路時,遭後方汽車猛烈追撞,當場重傷送醫不治,但肇事駕駛卻未停車查看便逃離現場,事發後又有另一名騎士疑因閃避不及,撞上倒地機車摔傷,警方7小時後逮捕肇事逃逸的26歲黃姓男子,他酒測值仍高達0.27毫克,對其唾液快篩檢測,結果也呈現第二級毒品陽性反應,懷疑他酒駕又毒駕釀禍,全案依公共危險罪及肇事逃逸罪嫌送辦。
中央社
法國金融犯罪檢察官辦公室今天告訴法新社,在性犯罪富豪艾普斯坦案相關文件揭露新事證後,他們已對深具影響力的前文化部長賈克朗及他的女兒展開初步調查。
TVBS

西班牙一名 82 歲的退休汽車技師胡安・洛佩斯・加西亞(Juan López García),雖然年逾八旬,卻在體能檢測中出現罕見的「逆齡表現」。研究指出,他的最大攝氧量已達一般 20 至 30 歲健康男性水準,顛覆外界對高齡體能衰退的既定想像。
壹蘋新聞網

【國際中心/綜合報導】35歲台裔鍾姓女子Pei Chung以「美食網紅」自居,多次在美國紐約吃霸王餐後提議「肉償抵餐費」,遭到逮捕。4日她拒絕離開看守所接受心理評估,辯稱當天停電,法官哭笑不得,諭令讓她續押。
NOWnews
在曼谷觀察即將於 2026 年 2 月 8 日舉行的泰國大選,若仍以傳統的政治光譜或政黨對立來理解當前局勢,恐怕很容易錯失真正正在發生的轉變。過去二十多年,泰國政治經常...
中央社

一週大事關注焦點:日本眾院選舉/美阻北京武器化稀土/韓1個月內拍板對美投資法/法國突搜X平台巴黎辦公室/總統揭台美合作3戰略/台美關稅/台北國際書展/WBC台灣隊30人名單
工商時報

台灣永續關懷協會所發起的第27屆「國家建築金獎」暨第21屆「台灣誠信品牌」選拔活動,現已正式啟動報名程序,不論是優良建築專案或是具備誠信經營理念的企業,皆可參與報名評選。 長久以來,「國家建築金獎」與「台灣誠信品牌」以其公益性質、評選過程的公開透明,以及深受廣大消費者的肯定而聞名。回顧去(2025)...
經濟日報

5年有成。疫情期間不計成本投入台灣鐵道觀光的雄獅旅遊,從鳴日號、鳴日廚房、阿里山林鐵、藍皮解憂號、海風號、山嵐號...,辦得風風火火、叫好又叫座,近日旗下觀光列車再下一城,「山嵐號」再追加西部新路線,
ETtoday

日本千葉縣癌症中心驚傳重大醫療疏失,一名60多歲男性患者被醫生判定為有罹患攝護腺癌之風險,因此動刀摘除整個攝護腺及周邊淋巴結,然而事後才發現,竟是醫師貼錯病例,將他與其他患者的病例搞混。院方6日坦承錯誤,目前正與患者家屬協商賠償事宜。
自由時報

雲林縣古坑鄉茂谷柑種植面積占全國第二,目前已進入產季,雖去年受颱風影響讓果皮稍微損傷,但品質、甜度不變。古坑鄉公所今(7日)明兩天在國道三號古坑服務區舉辦茂谷柑節,超過10家在地農產市集,每天還有四梯次鹽烤茂谷柑品嚐等豐富活動。鄉長林慧如表示,年節送禮首選就是茂谷柑,歡迎民眾經過服務區時採買。古坑鄉種植茂谷柑多聚集在永光、永昌、棋盤、荷苞、麻園村等,根據統計種植面積廣大222公頃,是全國種植面積第二,每年約可產出逾5000公噸柑橘,12月底進入產季,尤其農曆春節前後更是進入盛產期。
經濟日報
日本眾議院選舉明天投開票,民調顯示執政陣營情勢大好,不僅自民黨有機會單獨過半,與維新會合計更上看300席。不過自民黨不因...
經濟日報
印度與美國今天公布臨時貿易協議框架,印度將取消或降低美國工業、農業產品關稅,美國則將對等關稅降到18%,並取消部分產品關...
鏡週刊

春節腳步近了!犯保協會台中分會今(7)日舉辦「駿馬奔騰 賀新春」新春關懷餐會,邀請95個家庭共250位馨生人齊聚一堂,在充滿年味與祝福的氛圍中,共度新春佳節。法務部長鄭銘謙、犯保協會董事長張斗輝等人特地南下與馨生家庭一同圍爐聚餐,許多馨生家庭孩童收到部長親贈的紅包,充滿喜悅,現場表演活動更是帶動溫暖的年節氣氛。
中央社
電影「世紀血案」拍攝以「林宅血案」為主軸,卻未獲得林義雄等人授權。電影主演楊小黎、李千娜、簡嫚書今天都發文致歉,並表示不知電影沒有取得當事人授權。
TVBS

男星劉書宏近日帶女伴出席媽媽壽宴,不時在社群放閃,卻始終不認戀情。他今(7)日出席三立八點檔《百味人生》粉絲見面會,透露兩人在互相認識階段,自己正努力成為女方的理想型,雙方都同意這樣的狀態,卻強調自己單身,說法讓一旁的陳珮騏都聽不下去,狠虧:「這樣是騎驢找馬!」
壹蘋新聞網

【記者呂承哲/台北報導】隨著AI伺服器需求持續推升晶圓代工廠資本支出,先進製程研發與驗證需求同步升溫,帶動高階材料分析(MA)與失效分析(FA)市場快速擴張。半導體檢測分析業者受惠此波趨勢,營運動能持續走強。閎康(3587)、汎銓(6830)2026年1月營收分別繳出優於市場預期的成績,並在2奈米與矽光子等關鍵技術布局上提前卡位。
TVBS

近日有網友在家中發現一盒金門高粱復刻禮盒,意外發現包裝上的中文標籤閱讀順序竟「左右不一」,有的從左讀到右,有的卻是從右讀回左,讓他一時之間不知該如何向親戚小孩解釋,引發網友們討論。對此,知名懷舊達人張哲生就曾解釋這段台灣文字演變史,讓人驚呼長知識了。
自由時報

台中市地方文化發展促進會、台灣世界展望會今天在台北車站大樓舉辦「外籍看護移工防災士培訓」,這是全國首場以印尼看護移工為主要培訓對象的防災士專班,共有45位移工參與。副總統蕭美琴也到場勉勵,她感謝印尼兄弟姊妹,讓台灣防災士培訓工作及社會安全網,補上最溫柔、也最關鍵的一塊拼圖。由台中市地方文化發展促進會、台灣世界展望會辦理、內政部與勞動部指導的「外籍看護移工防災士培訓」,今天在台北車站大樓舉行。副總統蕭美琴、內政部長劉世芳、勞動部長洪申翰及駐台北印尼經濟代表處代表Mr. Arif Sulistiyo也蒞臨致詞勉勵。
聯合報

我:「我可以告訴妳具體、很快改變運勢的做法,但是,妳得要完全遵照。做得到嗎?」 她狐疑的望著我:「真的嗎?妳說說看啊!如果可以讓我很快轉運,我當然願意馬上去做啊!」
聯合報

陳姓司機去年1月間駕駛計程車,行經台南市仁德區中正與民安路段口時,未暫停讓行人優先通行而遭警舉發,台南市交通局裁罰720...
聯合報

樂天桃猿冠軍路跑今天上午於青埔運動公園壘球場盛大舉行,計有近兩千位10號隊友前來共襄盛舉,這也是樂天桃猿隊首度以路跑這種...
鏡週刊

台南一對弱勢姊弟日前開心去NET挑新衣,卻不小心弄丟了價值4000元的愛心禮券。這份禮券本是品牌回饋給家扶孩子的溫暖心意,沒想到姊弟倆挑得太投入,結帳時才驚覺籃子裡的信封袋消失了。原以為寫有姓名的信封會被熱心人士送回,沒想到這份期待最終卻落空。
聯合報

新北市警方昨會同保大霹靂小組攻堅搜索1間出租套房,現場查扣依托咪酯等各式毒品及原料,手提音響內涉嫌藏放2把改造手槍及子彈...
三立新聞

三立八點台劇《百味人生》劇中角色與 CP 組合深受觀眾喜愛。年前於2月7日在充滿年味的迪化街舉辦粉絲見面會,演員齊聚一堂,透過互動遊戲、近距離聊天與演唱環節,陪伴粉絲提前感受新春熱鬧氣氛,現場笑聲與掌聲不斷。出席主要演員包括陳謙文、林萱瑜、陳珮騏、江國賓、謝承均、邱子芯、劉書宏向粉絲熱情打招呼。趙浩雲
三立新聞

新北市樹林區今天(7日)上午10時許發生一起警匪衝突,一輛白色賓士車違規遭員警盤查,駕駛拒檢倒車後再往前加速逃逸,員警持警棍擊破該車車窗喝止,但仍被對方逃離。
TVBS

WBC中華隊30人名單正式公布,第6屆世界棒球經典賽即將開打,各隊名單掀起熱議,台灣隊旅外選手高達9名。受限於名額與陣型配置,包括旅外投手王彥程、張弘稜,捕手戴培峰以及外野新星宋晟睿,最終未能擠進正選名單,成為本屆WBC名單公布後最受討論的遺珠之憾。
TVBS

農曆春節將至,為使轄內弱勢家庭及獨居長者亦能感受節慶溫暖與社會關懷,雲林縣警察局特別規劃辦理「115年關懷弱勢迎春送暖過好年」活動,結合民間善心團體與熱心人士捐贈愛心物資,透過各分局及轄區派出所主動訪視關懷,將生活物資與溫暖心意親送至需要協助之民眾家中。
NOWnews
高雄市議員林智鴻今(7)日攜手鳳山區文山里長黃惠玲,共同舉辦新春揮毫活動,吸引逾百位鄉親共襄盛舉,在書法名師帶領下,林智鴻與黃惠玲一起寫下對聯「智湧鳳山起鴻...
自由時報

以製作祭祀糕餅聞名的永合香餅舖,在第四代生力軍加入後,打造兼具傳統與創新的時尚餅舖,要讓傳統糕點不只在祭祀場合,也能成為日常的點心或伴手禮。永合香餅舖最初販售麥芽糖餅,歷經第二、三代逐步發展成專賣祭祀糕餅的餅舖,迄今經營超過一甲子。目前由第四代侯乃禎、表弟郭琮暐及男友林鈺祥共同經營,傳承製餅技術,同時注入年輕人想法,將位於國華街的祖厝改建成營業空間。
聯合報
中國央行公布,中英金融工作組首次會議1月31日在北京舉行,雙方金融管理部門就全球宏觀經濟形勢與金融穩定等議題深入交換意見...
Newtalk

據《俄新社》報導,俄羅斯前司法部副部長謝爾蓋·特羅平(Sergei Tropin)於當地時間 2 月 6 日被發現死於莫斯科市中心公寓內,享年 72 歲。知情人士透露,初步調查顯示特羅平在浴缸內溺水身亡,現場未發現明顯的犯罪或暴力痕跡,初步判定不涉及刑事犯罪。特羅平於 1996 年被任命為俄羅斯聯邦
NOWnews
總統府日前公布馬年春聯題字「七喜春來」,象徵幸運好事、迎春順達,其中「七」除代表馬為十二生肖的第七順位以外,同時也有平安、健康、豐裕、幸福、成功、愛情與和樂...
上報

「神仙姐姐」劉亦菲自2023年底拍完《玫瑰的故事》後,已長達2年沒進組拍戲,近來傳出她與李現合演的爆款劇《去有風的地方》將籌備第二季之外,還有劇...
三立新聞

近日社群平台Threads與臉書社團瘋傳,「驊哥電腦」疑似惡性倒閉,不僅傳出已資遣全數員工,更被爆出積欠代理商高達新台幣1000萬元的貨款。目前該公司官網的筆電商品幾乎全數下架,僅剩少量配件,引發關注。對此,驊哥在臉書粉專做出最新回應,強調沒有要跑路和倒閉,也承認近期確實在財務上出問題,目前在跟代理商與銀行溝通中。
三立新聞

從舞台劇男星到夜店牛郎,日本演藝圈最具爭議的人物之一前山剛久,在背負「逼死星二代女友」的陰影下,演藝事業全面停擺。遭超過30家公司拒絕錄用後,他坦言為了活下去,只能選擇踏入夜晚世界,再度引爆輿論譁然。林宜君
聯合報
俄烏戰爭爆發將滿4年,烏克蘭國會議員索博利耶夫談及國防預算議題時表示,「你必須先保護自己,然後別人才會保護你」,若沒有及...
壹蘋新聞網

【記者王思穎/台北報導】八點檔《豆腐媽媽》替身演員從高台墜落、頭部重摔,引起工安意外的討論。八點檔「長青樹」等級的演員江國賓和謝承均,看到新聞都非常難過。謝承鈞也有過千鈞一髮的時刻,有次拍《意難忘》跟武行套招,結果不小心被踢到眼角,左眼縫了4針,醫生說差一點就會失明。
三立新聞

彰化縣二水鄉驚傳落水事件!今(7)日上午10時許,一名78歲老翁因不明原因墜落三義巷旁的八堡圳,附近民眾發現他在水中載浮載沉,緊急通報警消人員到場救援,約莫30分鐘後老翁被救起,但已無呼吸心跳,經現場急救後送醫仍不治,後續交由警方待司法相驗釐清死因。
風傳媒

民眾黨新北市長參選人黃國昌今(7)日與新莊區議員陳世軒一起到新莊宏泰市場掃街,遇到一名攤商質問福利政策問題,攤商聲稱握有30票,直問「你要把新北市帶到哪邊去?」黃國昌回答,要將新北帶到更好的地方,但攤商不領情,又追問「更好的地方是什麼地方?哪裡更好,要講出來啊!」黃國昌說明,未來將推動2-6歲類義務教育,讓年輕人敢成家、敢生小孩;針對銀髮族,也將推動「長者量......
經濟日報
俄烏戰爭爆發將滿4年,烏克蘭國會議員索博利耶夫談及國防預算議題時表示,「你必須先保護自己,然後別人才會保護你」,若沒有及...
ETtoday

台中市北區太原路今(7)日下午驚傳墜樓意外。消防局於下午接近2點30分接獲通報,指出該處發生有人自高處墜落事件,隨即派遣人車前往搶救。救護人員趕抵現場後,發現一名約60歲的婦人倒臥地面,已無生命跡象,經評估確認當場死亡,未送醫。警方隨後到場拉起封鎖線進行蒐證。至於婦人為何墜樓,確切原因仍有待警方進一步調查釐清。
TVBS

顛覆傳統路跑印象的「2026突破BMI 動吃懂吃-環遊世界之台灣小吃篇」將於3月21日在雲林縣崙背鄉千巧谷牛樂園牧場周邊登場。主辦單位中華民國商業合作發展協會6日舉行記者會,宣布活動正式啟動,主打全台首創、也是目前唯一的「1公里1補給站」設計,讓跑者在運動過程中邊跑邊吃,深入認識台灣在地食材與產業特色。
壹蘋新聞網

【劉育良/綜合報導】知名客製化筆電業者「驊哥電腦」驚傳倒閉,網站上商品都顯示為「售完」,傳出已資遣全體員工,並積欠上千萬元貨款,顧客們擔心捲款潛逃。驊哥電腦今天下午發出簡短聲明,強調沒有跑路、沒有倒閉,確有財務問題,但消費者已下單的商品都會正常出貨。
壹蘋新聞網

【娛樂中心/綜合報導】改編林宅血案的電影《世紀血案》爭議延燒,導演徐琨華被起底,他爺爺徐梅鄰當年擔任警總發言人,被疑是以加害角人角度詮釋這齣慘案,而導演徐琨華至今未對外說明,當天也沒有出席殺青記者會,網友好奇他背景,也挖出他照片,據維基百科資料顯示,他是1984年出生,約41歲,父親徐小明也是知名導演,曾拍過電影《少年吔,安啦!》、《五月之戀》。
自由時報

彰化縣順興中古車行老闆陳永聰斜槓開賣「黑手牌」蛋黃酥,雖然這1、2年來的中古車銷售市場不如預期,但他認為做公益不能等,除了透過十方功德行善團「接力募款」130多萬元進行歲末寒冬送暖,也將與老婆顏美華在春節期間前進鹿港老街開賣蛋黃酥!顏美華表示,這1、2年中古車銷售量略為衰退,還好有斜槓開賣蛋黃酥,丈夫陳永聰認為行善要及時。因此,今天(7日)在春節前也來鹿港開賣蛋黃酥,今年春節大年初一、初三、初四也會到鹿港新祖宮前方的鹿港老街擺攤開賣,希望人潮能夠帶來買氣。
TVBS

「道路交通管理處罰條例」第21條修正新制於115年1月31日正式施行,雲林縣警察局隨即展開為期3天的專案取締行動,共舉發無照駕駛46件,其中機車40件、小型車6件,違規車輛均依法移置保管並扣牌。不過,統計數據顯示此次並未查獲大型車無照駕駛案件,引發部分民眾關注。